SR2152

XL Choroideremia (IIIA1a)

Male

Male

SR2152

XL Choroideremia (IIIA1a)

Male

Male

Highlighted Images

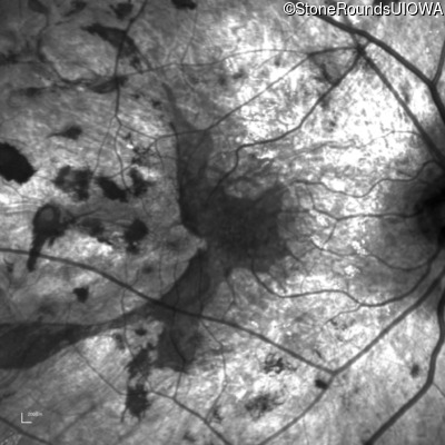
Age at visit: 35 years
OD OS

History

This 35-year-old man has trouble in low light and when moving around in busy places. He first reported trouble seeing in low light at age 13. His maternal grandfather was similarly affected.

Pedigree

Age at visit: 35 years
Age at visit: 37 years

Diagnosis & molecular findings

Disease Gene Allele 1 variant(s) Allele 2 variant(s) Inheritance mode
XL Choroideremia CHM Leu527 del4aaaTTGT   XL
Disease:
Gene:
Allele 1:
Leu527 del4aaaTTGT
Allele 2:
 
Inheritance:
XL
Cite this case