SR2161

AR Stargardt Disease (IIA)

Female

Female

SR2161

AR Stargardt Disease (IIA)

Female

Female

Highlighted Images

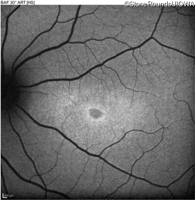
Age at visit: 17 years
OD OS

History

This 17 year old female first noted problems with her visual acuity around age 13 when she had trouble seeing the projector from the back of the classroom.

Pedigree

Age at visit: 16 years
Age at visit: 17 years
Age at visit: 18 years
Age at visit: 22 years

Diagnosis & molecular findings

Disease Gene Allele 1 variant(s) Allele 2 variant(s) Inheritance mode
AR Stargardt Disease ABCA4 Val256Val GTG>GTT Gly1961Glu GGA>GAA AR
Gene:
Allele 1:
Val256Val GTG>GTT
Allele 2:
Gly1961Glu GGA>GAA
Inheritance:
AR
Cite this case