SR22

Leber Hereditary Optic Neuropathy (IIIC1c)

Male

Male

SR22

Leber Hereditary Optic Neuropathy (IIIC1c)

Male

Male

Highlighted Images

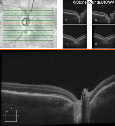
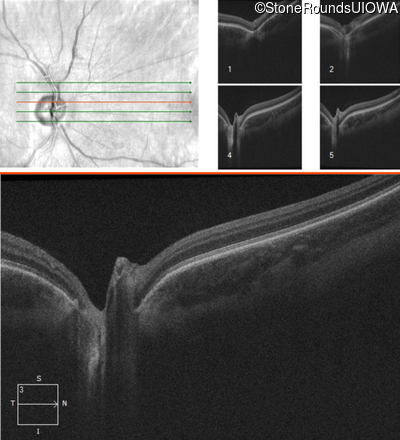
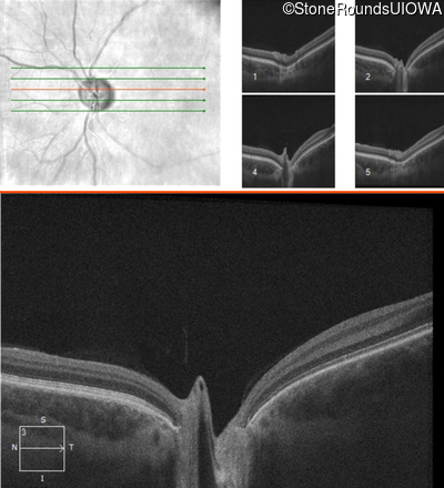
Age at visit: 17 years
OD OS

History

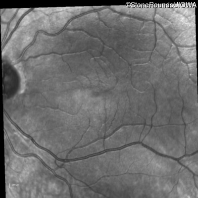
This 17 year old male had normal vision until about 6 months earlier when he began to lose central vision. The left eye may have been affected prior to the right eye.

Pedigree

Age at visit: 17 years
Age at visit: 17 years (Visit 2)
Age at visit: 18 years
Age at visit: 19 years
Age at visit: 19 years (Visit 2)
Age at visit: 20 years
Age at visit: 25 years
Age at visit: 27 years

Diagnosis & molecular findings

Disease Gene Allele 1 variant(s) Allele 2 variant(s) Inheritance mode
Leber Hereditary Optic Neuropathy MT-ND4 11778 A>G   MT
Gene:
Allele 1:
11778 A>G
Allele 2:
 
Inheritance:
MT
Cite this case