SR2308

Malattia Leventinese (IIJ)

Male

Male

SR2308

Malattia Leventinese (IIJ)

Male

Male

Highlighted Images

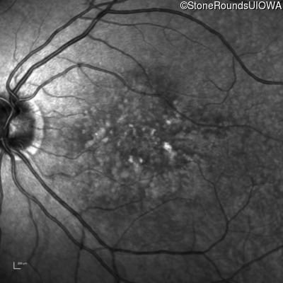
Age at visit: 32 years
OD OS

History

This 32 year old man has a chief complaint of mildly reduced visual acuity. He first noticed a slow recovery of acuity after exposure to bright light at age 18. His visual acuity was completely normal as a child and young adult.

Pedigree

Teaching Points

The clinical features favoring the diagnosis of Malattia Leventinese in this patient include the confluent drusen (some with dark cores), the relatively good visual acuity, the radial drusen temporal and inferior to the macula, and the extensive autosomal dominant family history. Autosomal dominant macular dystrophies often have good acuity despite a fairly dramatic fundus appearance.

Age at visit: 32 years
Age at visit: 34 years

Diagnosis & molecular findings

Disease Gene Allele 1 variant(s) Allele 2 variant(s) Inheritance mode
Malattia Leventinese EFEMP1 Arg345Trp CGG>TGG   AD
Gene:
Allele 1:
Arg345Trp CGG>TGG
Allele 2:
 
Inheritance:
AD
Cite this case