SR251

Cone-Rod Dystrophy (IA1b)

Female

Female

SR251

Cone-Rod Dystrophy (IA1b)

Female

Female

Highlighted Images

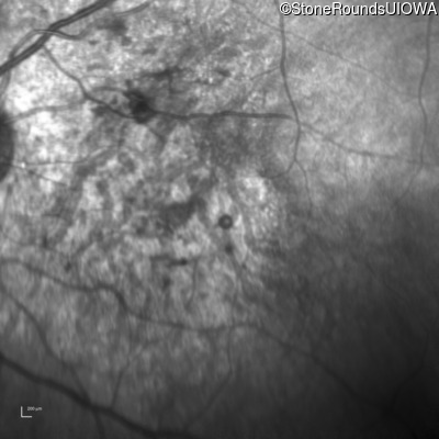
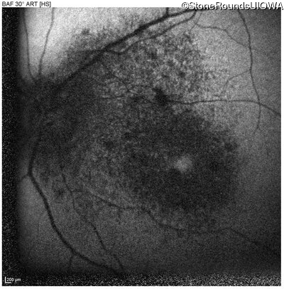
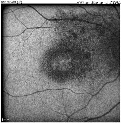
Age at visit: 58 years
OD OS

History

This 58 year old woman first noticed a gap in the vision of her left eye at age 46.

Pedigree

Age at visit: 58 years
Age at visit: 58 years (Visit 2)
Age at visit: 60 years
Age at visit: 62 years
Age at visit: 64 years
Age at visit: 66 years
Age at visit: 68 years
Age at visit: 70 years
Age at visit: 72 years

Diagnosis & molecular findings

Disease Gene Allele 1 variant(s) Allele 2 variant(s) Inheritance mode
Cone-Rod Dystrophy CRB1 Cys948Tyr (T)GT>(T)AT Asp165 del9cagGATGGAATT AR
Gene:
Allele 1:
Cys948Tyr (T)GT>(T)AT
Allele 2:
Asp165 del9cagGATGGAATT
Inheritance:
AR
Cite this case