SR281

Senior-Loken Syndrome (IB4)

Male

Male

SR281

Senior-Loken Syndrome (IB4)

Male

Male

Highlighted Images

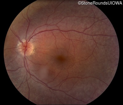
Age at visit: 15 years
OD OS

History

This 15 year old male has had very poor vision and nystagmus since the first year of life.

Pedigree

Age at visit: 12 years
Age at visit: 13 years
Age at visit: 15 years
Age at visit: 17 years
Age at visit: 19 years
Age at visit: 22 years
Age at visit: 24 years
Age at visit: 26 years

Diagnosis & molecular findings

Disease Gene Allele 1 variant(s) Allele 2 variant(s) Inheritance mode
Senior-Loken Syndrome IQCB1 Phe141 del2cacTT Phe141 del2cacTT AR
Gene:
Allele 1:
Phe141 del2cacTT
Allele 2:
Phe141 del2cacTT
Inheritance:
AR
Cite this case