SR434

AR Stargardt Disease (IIA)

Female

Female

SR434

AR Stargardt Disease (IIA)

Female

Female

Highlighted Images

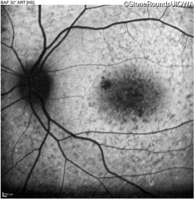
Age at visit: 15 years
OD OS

History

This 15 year old female recalls not being able to see the black board in 2nd grade despite sitting in the 2nd row.

Pedigree

Age at visit: 15 years
Age at visit: 16 years
Age at visit: 19 years
Age at visit: 23 years

Diagnosis & molecular findings

Disease Gene Allele 1 variant(s) Allele 2 variant(s) Inheritance mode
AR Stargardt Disease ABCA4 Val256Val GTG>GTT His1118Asp CAC>GAC AR
Gene:
Allele 1:
Val256Val GTG>GTT
Allele 2:
His1118Asp CAC>GAC
Inheritance:
AR
Cite this case