SR493

AR Stargardt Disease (IIA)

Male

Male

SR493

AR Stargardt Disease (IIA)

Male

Male

Highlighted Images

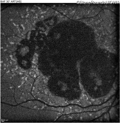
Age at visit: 59 years
OD OS

History

This 59 year old man has noticed some blank spots near the center of his vision over the last 2 years.

Pedigree

Age at visit: 59 years
Age at visit: 60 years
Age at visit: 61 years
Age at visit: 62 years
Age at visit: 63 years

Diagnosis & molecular findings

Disease Gene Allele 1 variant(s) Allele 2 variant(s) Inheritance mode
AR Stargardt Disease ABCA4 Leu2027Phe CTC>TTC IVS30+1321 A>G AR
Gene:
Allele 1:
Leu2027Phe CTC>TTC
Allele 2:
IVS30+1321 A>G
Inheritance:
AR
Cite this case