SR599

Bardet Biedl Syndrome (IB2)

Male

Male

SR599

Bardet Biedl Syndrome (IB2)

Male

Male

Highlighted Images

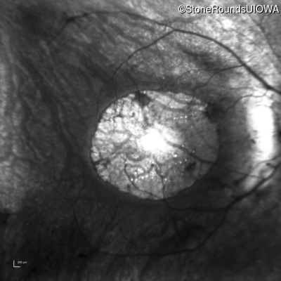
Age at visit: 15 years
OD OS

History

This 15 year old male had a macular abnormality noted two weeks ago when he was refracted for his first pair of glasses. Bone spicule-like pigmentation was first noticed a year later (age 16) during a routine follow-up eye exam.

Pedigree

Age at visit: 15 years
Age at visit: 16 years
Age at visit: 18 years
Age at visit: 22 years
Age at visit: 38 years
Age at visit: 47 years
Age at visit: 49 years
Age at visit: 52 years
Age at visit: 55 years
Age at visit: 57 years
Age at visit: 59 years

Diagnosis & molecular findings

Disease Gene Allele 1 variant(s) Allele 2 variant(s) Inheritance mode
Bardet Biedl Syndrome BBS1 Met390Arg ATG>AGG Met390Arg ATG>AGG AR
Gene:
Allele 1:
Met390Arg ATG>AGG
Allele 2:
Met390Arg ATG>AGG
Inheritance:
AR
Cite this case