SR934

ECORD (IA2c)

Female

Female

SR934

ECORD (IA2c)

Female

Female

Highlighted Images

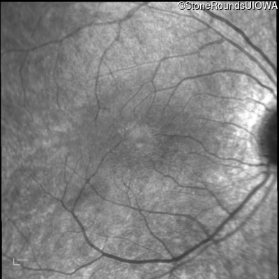
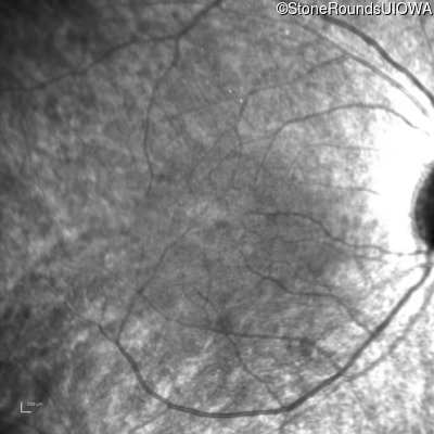
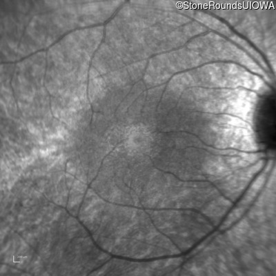
Age at visit: 8 years
OD OS

History

This 8 year old girl first had trouble trick-or-treating at age 4.

Pedigree

Age at visit: 8 years
Age at visit: 9 years
Age at visit: 10 years
Age at visit: 11 years
Age at visit: 12 years
Age at visit: 13 years
Age at visit: 17 years
Age at visit: 20 years

Diagnosis & molecular findings

Disease Gene Allele 1 variant(s) Allele 2 variant(s) Inheritance mode
ECORD RNU6-9 n.55_56ins1cG   AD
Disease:
Gene:
Allele 1:
n.55_56ins1cG
Allele 2:
 
Inheritance:
AD
Cite this case