Loading...

SR337

Foveal Hypoplasia (IIIG)

Female

Female

SR337

Foveal Hypoplasia (IIIG)

Female

Female

Visit at age: 55 years

Fundus Photography - Right - 20/25 -2

Exemplar

Fundus Photography - Left - 20/200

Exemplar

Fundus Montage - Right - 20/25 -2

Exemplar

Fundus Montage - Left - 20/200

Exemplar

Goldmann Visual Field - Right - 20/25 -2

Exemplar

Goldmann Visual Field - Left - 20/200

Exemplar

Optical Coherence Tomography - Right - 20/25 -2

Exemplar / OCT Stack
OCT Stack

Optical Coherence Tomography - Left - 20/200

Exemplar / OCT Stack
OCT Stack

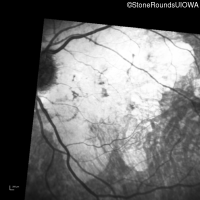
Infrared Fundus Photograph - Right - 20/25 -2

Exemplar

Infrared Fundus Photograph - Left - 20/200

Exemplar

Visit at age: 56 years

Optical Coherence Tomography - Right - 20/100 +1

Exemplar / OCT Stack
OCT Stack

Optical Coherence Tomography - Left - 20/200

Exemplar / OCT Stack
OCT Stack

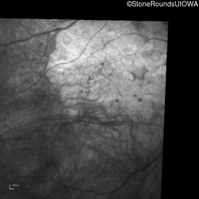
Infrared Fundus Photograph - Right - 20/100 +1

Exemplar

Infrared Fundus Photograph - Left - 20/200

Exemplar

Visit at age: 57 years

Optical Coherence Tomography - Right - 20/80

Exemplar / OCT Stack
OCT Stack

Optical Coherence Tomography - Left - 20/400

Exemplar / OCT Stack
OCT Stack

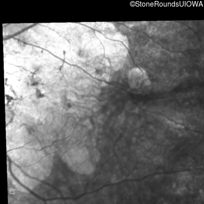
Infrared Fundus Photograph - Right - 20/80

Exemplar

Infrared Fundus Photograph - Left - 20/400

Exemplar

Visit at age: 57 years (Visit 2)

Goldmann Visual Field - Right - 20/80 -1

Exemplar

Goldmann Visual Field - Left - 20/300

Exemplar

Optical Coherence Tomography - Right - 20/80 -1

Exemplar / OCT Stack
OCT Stack

Optical Coherence Tomography - Left - 20/300

Exemplar / OCT Stack
OCT Stack

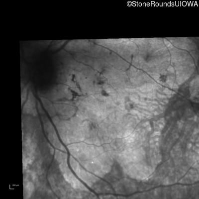
Infrared Fundus Photograph - Right - 20/80 -1

Exemplar

Infrared Fundus Photograph - Left - 20/300

Exemplar

Visit at age: 57 years (Visit 3)

Optical Coherence Tomography - Right - 20/80

Exemplar / OCT Stack
OCT Stack

Optical Coherence Tomography - Left - 20/300

Exemplar / OCT Stack
OCT Stack
OCT Stack

Infrared Fundus Photograph - Right - 20/80

Exemplar

Infrared Fundus Photograph - Left - 20/300

Exemplar

Visit at age: 57 years (Visit 4)

Optical Coherence Tomography - Right - 20/100 +1

Exemplar / OCT Stack
OCT Stack

Optical Coherence Tomography - Left - 20/300

Exemplar / OCT Stack
OCT Stack

Infrared Fundus Photograph - Right - 20/100 +1

Exemplar

Infrared Fundus Photograph - Left - 20/300

Exemplar

Visit at age: 58 years

Goldmann Visual Field - Right - 20/100

Exemplar

Goldmann Visual Field - Left - 20/250

Exemplar

Optical Coherence Tomography - Right - 20/100

Exemplar / OCT Stack
OCT Stack

Optical Coherence Tomography - Left - 20/250

Exemplar / OCT Stack

Infrared Fundus Photograph - Right - 20/100

Exemplar

Infrared Fundus Photograph - Left - 20/250

Exemplar

Visit at age: 58 years (Visit 2)

Goldmann Visual Field - Right - 20/125

Exemplar

Goldmann Visual Field - Left - 20/200

Exemplar

Optical Coherence Tomography - Right - 20/125

Exemplar / OCT Stack
OCT Stack

Optical Coherence Tomography - Left - 20/200

Exemplar / OCT Stack
OCT Stack
OCT Stack

Infrared Fundus Photograph - Right - 20/125

Exemplar

Infrared Fundus Photograph - Left - 20/200

Exemplar

Visit at age: 59 years

Goldmann Visual Field - Right - 20/150

Exemplar

Goldmann Visual Field - Left - 20/150

Exemplar

Optical Coherence Tomography - Right - 20/150

Exemplar / OCT Stack
OCT Stack

Optical Coherence Tomography - Left - 20/150

Exemplar / OCT Stack
OCT Stack

Infrared Fundus Photograph - Right - 20/150

Exemplar

Infrared Fundus Photograph - Left - 20/150

Exemplar

Visit at age: 59 years (Visit 2)

Goldmann Visual Field - Right - 20/150

Exemplar

Goldmann Visual Field - Left - 20/250

Exemplar

Optical Coherence Tomography - Right - 20/150

Exemplar / OCT Stack
OCT Stack

Optical Coherence Tomography - Left - 20/250

Exemplar / OCT Stack
OCT Stack

Infrared Fundus Photograph - Right - 20/150

Exemplar

Infrared Fundus Photograph - Left - 20/250

Exemplar

Visit at age: 60 years

Goldmann Visual Field - Right - 20/125

Exemplar

Goldmann Visual Field - Left - 20/250

Exemplar

Optical Coherence Tomography - Right - 20/125

Exemplar / OCT Stack
OCT Stack
OCT Stack

Optical Coherence Tomography - Left - 20/250

Exemplar / OCT Stack
OCT Stack
OCT Stack

Infrared Fundus Photograph - Right - 20/125

Exemplar

Infrared Fundus Photograph - Left - 20/250

Exemplar

Visit at age: 60 years (Visit 2)

Goldmann Visual Field - Right - 20/200

Exemplar

Goldmann Visual Field - Left - 20/250

Exemplar

Optical Coherence Tomography - Right - 20/200

Exemplar / OCT Stack
OCT Stack
OCT Stack
OCT Stack

Optical Coherence Tomography - Left - 20/250

Exemplar / OCT Stack
OCT Stack
OCT Stack
OCT Stack
OCT Stack

Infrared Fundus Photograph - Right - 20/200

Exemplar

Infrared Fundus Photograph - Left - 20/250

Exemplar

Visit at age: 61 years

Goldmann Visual Field - Right - 20/250

Exemplar

Goldmann Visual Field - Left - 20/200

Exemplar

Optical Coherence Tomography - Right - 20/250

Exemplar / OCT Stack
OCT Stack
OCT Stack

Optical Coherence Tomography - Left - 20/200

Exemplar / OCT Stack
OCT Stack
OCT Stack

Infrared Fundus Photograph - Right - 20/250

Exemplar

Infrared Fundus Photograph - Left - 20/200

Exemplar

Visit at age: 62 years

Goldmann Visual Field - Right - 20/200 +1

Exemplar

Goldmann Visual Field - Left - 20/200

Exemplar

Optical Coherence Tomography - Right - 20/200 +1

Exemplar / OCT Stack
OCT Stack
OCT Stack

Optical Coherence Tomography - Left - 20/200

Exemplar / OCT Stack
OCT Stack
OCT Stack

Infrared Fundus Photograph - Right - 20/200 +1

Exemplar

Infrared Fundus Photograph - Left - 20/200

Exemplar

Visit at age: 62 years (Visit 2)

Optical Coherence Tomography - Right - 20/150

Exemplar / OCT Stack
OCT Stack
OCT Stack

Optical Coherence Tomography - Left - 20/150

Exemplar / OCT Stack
OCT Stack
OCT Stack

Infrared Fundus Photograph - Right - 20/150

Exemplar

Infrared Fundus Photograph - Left - 20/150

Exemplar

Visit at age: 63 years

Optical Coherence Tomography - Right - 20/200

Exemplar / OCT Stack
OCT Stack
OCT Stack

Optical Coherence Tomography - Left - 20/150

Exemplar / OCT Stack
OCT Stack
OCT Stack

Infrared Fundus Photograph - Right - 20/200

Exemplar

Infrared Fundus Photograph - Left - 20/150

Exemplar

Visit at age: 63 years (Visit 2)

Goldmann Visual Field - Right - 20/150

Exemplar

Goldmann Visual Field - Left - 20/150

Exemplar

Optical Coherence Tomography - Right - 20/150

Exemplar / OCT Stack
OCT Stack
OCT Stack

Optical Coherence Tomography - Left - 20/150

Exemplar / OCT Stack
OCT Stack
OCT Stack
OCT Stack

Infrared Fundus Photograph - Right - 20/150

Exemplar

Infrared Fundus Photograph - Left - 20/150

Exemplar

Visit at age: 65 years

Optical Coherence Tomography - Right - 20/250

Exemplar / OCT Stack
OCT Stack
OCT Stack

Optical Coherence Tomography - Left - 20/150

Exemplar / OCT Stack
OCT Stack
OCT Stack

Infrared Fundus Photograph - Right - 20/250

Exemplar

Infrared Fundus Photograph - Left - 20/150

Exemplar

Visit at age: 66 years

Goldmann Visual Field - Right - 20/200

Exemplar

Goldmann Visual Field - Left - 20/125

Exemplar

Optical Coherence Tomography - Right - 20/200

Exemplar / OCT Stack
OCT Stack
OCT Stack

Optical Coherence Tomography - Left - 20/125

Exemplar / OCT Stack
OCT Stack
OCT Stack

Infrared Fundus Photograph - Right - 20/200

Exemplar

Infrared Fundus Photograph - Left - 20/125

Exemplar

Visit at age: 67 years

Optical Coherence Tomography - Right - 20/200

Exemplar / OCT Stack
OCT Stack

Optical Coherence Tomography - Left - 20/200

Exemplar / OCT Stack
OCT Stack

Infrared Fundus Photograph - Right - 20/200

Exemplar

Infrared Fundus Photograph - Left - 20/200

Exemplar

Case Level Images

Diagnosis & molecular findings

Disease Gene Allele 1 variant(s) Allele 2 variant(s) Inheritance mode
Foveal Hypoplasia PAX6 Pro76Leu CCG>CTG   AD
Gene:
Allele 1:
Pro76Leu CCG>CTG
Allele 2:
 
Inheritance:
AD
Cite this case