Loading...

SR161

Boucher-Neuhauser Syndrome (IIIA5i)

Female

Female

SR161

Boucher-Neuhauser Syndrome (IIIA5i)

Female

Female

Visit at age: 6 years

Fundus Photography - Right - 20/250

Exemplar

Fundus Photography - Left - 20/60

Exemplar

Fundus Montage - Right - 20/250

Exemplar

Fundus Montage - Left - 20/60

Exemplar

Visit at age: 8 years

Fundus Photography - Right - 10/200

Exemplar

Fundus Photography - Left - 20/160

Exemplar

Visit at age: 9 years

Goldmann Visual Field - Right - 10/125

Exemplar

Visit at age: 11 years

Fundus Photography - Right - 20/160

Exemplar

Fundus Photography - Left - Count Fingers 2'

Exemplar

Goldmann Visual Field - Right - 20/160

Exemplar

Goldmann Visual Field - Left - Count Fingers 2'

Exemplar

Visit at age: 12 years

Goldmann Visual Field - Right - 10/100

Exemplar

Goldmann Visual Field - Left - 5/350

Exemplar

Visit at age: 12 years (Visit 2)

Fundus Photography - Right - 20/200 -1

Exemplar

Fundus Photography - Left - 5/160

Exemplar

Fundus Montage - Right - 20/200 -1

Exemplar

Fundus Montage - Left - 5/160

Exemplar

Goldmann Visual Field - Right - 20/200 -1

Exemplar

Goldmann Visual Field - Left - 5/160

Exemplar

Optical Coherence Tomography - Right - 20/200 -1

Exemplar / OCT Stack
OCT Stack

Optical Coherence Tomography - Left - 5/160

Exemplar / OCT Stack
OCT Stack
OCT Stack
OCT Stack
OCT Stack
OCT Stack
OCT Stack
OCT Stack

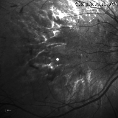
Infrared Fundus Photograph - Right - 20/200 -1

Exemplar

Infrared Fundus Photograph - Left - 5/160

Exemplar

Visit at age: 13 years

Goldmann Visual Field - Right - 20/200 -2

Exemplar

Goldmann Visual Field - Left - 5/300

Exemplar

Visit at age: 14 years

Goldmann Visual Field - Right - 20/200 +1

Exemplar

Goldmann Visual Field - Left - 5/200

Exemplar

Optical Coherence Tomography - Right - 20/200 +1

Exemplar / OCT Stack
OCT Stack
OCT Stack

Optical Coherence Tomography - Left - 5/200

Exemplar / OCT Stack
OCT Stack
OCT Stack

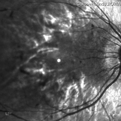
Infrared Fundus Photograph - Right - 20/200 +1

Exemplar

Infrared Fundus Photograph - Left - 5/200

Exemplar

Visit at age: 16 years

Goldmann Visual Field - Right - 20/200 -2

Exemplar

Goldmann Visual Field - Left - 10/700

Exemplar

Optical Coherence Tomography - Right - 20/200 -2

Exemplar / OCT Stack
OCT Stack

Optical Coherence Tomography - Left - 10/700

Exemplar / OCT Stack

Infrared Fundus Photograph - Right - 20/200 -2

Exemplar

Infrared Fundus Photograph - Left - 10/700

Exemplar

Visit at age: 17 years

Goldmann Visual Field - Right - 20/160

Exemplar

Goldmann Visual Field - Left - 10/700

Exemplar

Optical Coherence Tomography - Right - 20/160

Exemplar / OCT Stack

Optical Coherence Tomography - Left - 10/700

Exemplar / OCT Stack
OCT Stack
OCT Stack
OCT Stack
OCT Stack

Infrared Fundus Photograph - Right - 20/160

Exemplar

Infrared Fundus Photograph - Left - 10/700

Exemplar

Visit at age: 18 years

Fundus Photography - Right - 20/200 -2

Exemplar

Fundus Photography - Left - 5/400 sc

Exemplar

Fundus Montage - Right - 20/200 -2

Exemplar

Fundus Montage - Left - 5/400 sc

Exemplar

Goldmann Visual Field - Right - 20/200 -2

Exemplar

Goldmann Visual Field - Left - 5/400 sc

Exemplar

Optical Coherence Tomography - Right - 20/200 -2

Exemplar / OCT Stack
OCT Stack

Optical Coherence Tomography - Left - 5/400 sc

Exemplar / OCT Stack
OCT Stack

Infrared Fundus Photograph - Right - 20/200 -2

Exemplar

Infrared Fundus Photograph - Left - 5/400 sc

Exemplar

Case Level Images

Diagnosis & molecular findings

Disease Gene Allele 1 variant(s) Allele 2 variant(s) Inheritance mode
Boucher-Neuhauser Syndrome PNPLA6 Ala1064Thr GCC>ACC Arg1135Trp CGG>TGG AR
Gene:
Allele 1:
Ala1064Thr GCC>ACC
Allele 2:
Arg1135Trp CGG>TGG
Inheritance:
AR
Cite this case