Loading...

SR573

Type 1 Usher Syndrome (IB1a)

Female

Female

SR573

Type 1 Usher Syndrome (IB1a)

Female

Female

Visit at age: 15 years

Fundus Photography - Right - 20/30 sc

Exemplar

Fundus Photography - Left - 20/30 sc

Exemplar

Goldmann Visual Field - Right - 20/30 sc

Exemplar

Goldmann Visual Field - Left - 20/30 sc

Exemplar

Visit at age: 16 years

Fundus Photography - Right - 20/20 -3 sc

Exemplar

Fundus Photography - Left - 20/20 sc

Exemplar

Visit at age: 18 years

Fundus Photography - Right - 20/25 -1 sc

Exemplar

Fundus Photography - Left - 20/20 -2 sc

Exemplar

Goldmann Visual Field - Right - 20/25 -1 sc

Exemplar

Goldmann Visual Field - Left - 20/20 -2 sc

Exemplar

Visit at age: 20 years

Goldmann Visual Field - Right - 20/30 sc

Exemplar

Goldmann Visual Field - Left - 20/20 sc

Exemplar

Visit at age: 37 years

Fundus Photography - Right - 20/25 sc

Exemplar

Fundus Photography - Left - 20/25 +2 sc

Exemplar

Fundus Montage - Right - 20/25 sc

Exemplar

Fundus Montage - Left - 20/25 +2 sc

Exemplar

Goldmann Visual Field - Right - 20/25 sc

Exemplar

Goldmann Visual Field - Left - 20/25 +2 sc

Exemplar

Visit at age: 38 years

Fundus Photography - Right - 20/32 +2 sc

Exemplar

Fundus Photography - Left - 20/25 -1 sc

Exemplar

Goldmann Visual Field - Right - 20/32 +2 sc

Exemplar

Goldmann Visual Field - Left - 20/25 -1 sc

Exemplar

Optical Coherence Tomography - Right - 20/32 +2 sc

Exemplar / OCT Stack
OCT Stack

Optical Coherence Tomography - Left - 20/25 -1 sc

Exemplar / OCT Stack
OCT Stack

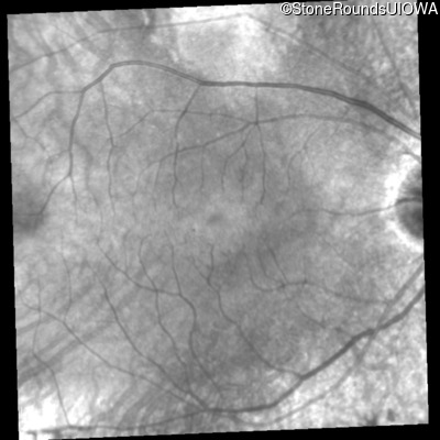
Infrared Fundus Photograph - Right - 20/32 +2 sc

Exemplar

Infrared Fundus Photograph - Left - 20/25 -1 sc

Exemplar

B-Scan Ultrasonography - Right - 20/32 +2 sc

Exemplar

Visit at age: 39 years

Goldmann Visual Field - Right - 20/25 -1

Exemplar

Goldmann Visual Field - Left - 20/25

Exemplar

Visit at age: 41 years

Goldmann Visual Field - Right - 20/32

Exemplar

Goldmann Visual Field - Left - 20/32

Exemplar

Optical Coherence Tomography - Right - 20/32

Exemplar / OCT Stack
OCT Stack

Optical Coherence Tomography - Left - 20/32

Exemplar / OCT Stack
OCT Stack

Infrared Fundus Photograph - Right - 20/32

Exemplar

Infrared Fundus Photograph - Left - 20/32

Exemplar

Visit at age: 43 years

Goldmann Visual Field - Right - 20/32 sc

Exemplar

Goldmann Visual Field - Left - 20/32 +1 sc

Exemplar

Optical Coherence Tomography - Right - 20/32 sc

Exemplar / OCT Stack
OCT Stack
OCT Stack

Optical Coherence Tomography - Left - 20/32 +1 sc

Exemplar / OCT Stack
OCT Stack
OCT Stack

Infrared Fundus Photograph - Right - 20/32 sc

Exemplar

Infrared Fundus Photograph - Left - 20/32 +1 sc

Exemplar

Visit at age: 47 years

Goldmann Visual Field - Right - 20/50

Exemplar

Goldmann Visual Field - Left - 20/32

Exemplar

Optical Coherence Tomography - Right - 20/50

Exemplar / OCT Stack
OCT Stack
OCT Stack

Optical Coherence Tomography - Left - 20/32

Exemplar / OCT Stack
OCT Stack
OCT Stack

Infrared Fundus Photograph - Right - 20/50

Exemplar

Infrared Fundus Photograph - Left - 20/32

Exemplar

Blue Autofluorescence - Right - 20/50

Exemplar

Blue Autofluorescence - Left - 20/32

Exemplar

Case Level Images

Diagnosis & molecular findings

Disease Gene Allele 1 variant(s) Allele 2 variant(s) Inheritance mode
Type 1 Usher Syndrome CDH23 Glu1435Lys GAG>AAG Tyr1947Stop TAT>TAG AR
Gene:
Allele 1:
Glu1435Lys GAG>AAG
Allele 2:
Tyr1947Stop TAT>TAG
Inheritance:
AR
Cite this case