Loading...

SR623

MIDD (IID1a)

Female

Female

SR623

MIDD (IID1a)

Female

Female

Visit at age: 31 years

Fundus Photography - Right - 20/20 sc

Exemplar

Fundus Photography - Left - 20/20 sc

Exemplar

Goldmann Visual Field - Right - 20/20 sc

Exemplar

Goldmann Visual Field - Left - 20/20 sc

Exemplar

Visit at age: 33 years

Fundus Photography - Right - 20/25 sc

Exemplar

Fundus Photography - Left - 20/40 -2 sc

Exemplar

Fluorescein Angiography - Right - 20/25 sc

Exemplar

Fluorescein Angiography - Left - 20/40 -2 sc

Exemplar

Visit at age: 33 years (Visit 2)

Goldmann Visual Field - Right - 20/25 +2 sc

Exemplar

Goldmann Visual Field - Left - 20/20 -1 sc

Exemplar

Visit at age: 36 years

Fundus Photography - Right - 20/20 sc

Exemplar

Fundus Photography - Left - 20/15 -1 sc

Exemplar

Goldmann Visual Field - Right - 20/20 sc

Exemplar

Goldmann Visual Field - Left - 20/15 -1 sc

Exemplar

Fluorescein Angiography - Right - 20/20 sc

Exemplar

Fluorescein Angiography - Left - 20/15 -1 sc

Exemplar

Visit at age: 37 years

Fundus Photography - Right - 20/15 -2 sc

Exemplar

Fundus Photography - Left - 20/20 +3 sc

Exemplar

Fundus Montage - Right - 20/15 -2 sc

Exemplar

Fundus Montage - Left - 20/20 +3 sc

Exemplar

Goldmann Visual Field - Left - 20/20 +3 sc

Exemplar

Visit at age: 41 years

Fundus Photography - Right - 20/20 -2 sc

Exemplar

Fundus Photography - Left - 20/30 +1 sc

Exemplar

Goldmann Visual Field - Right - 20/20 -2 sc

Exemplar

Optical Coherence Tomography - Right - 20/20 -2 sc

Exemplar / OCT Stack

Optical Coherence Tomography - Left - 20/30 +1 sc

Exemplar / OCT Stack

Infrared Fundus Photograph - Right - 20/20 -2 sc

Exemplar

Infrared Fundus Photograph - Left - 20/30 +1 sc

Exemplar

Visit at age: 46 years

Fundus Photography - Right - 20/25 -2 sc

Exemplar

Fundus Photography - Left - 20/50 -2 sc

Exemplar

Fundus Montage - Right - 20/25 -2 sc

Exemplar

Fundus Montage - Left - 20/50 -2 sc

Exemplar

Goldmann Visual Field - Right - 20/25 -2 sc

Exemplar

Goldmann Visual Field - Left - 20/50 -2 sc

Exemplar

Optical Coherence Tomography - Right - 20/25 -2 sc

Exemplar / OCT Stack
OCT Stack

Optical Coherence Tomography - Left - 20/50 -2 sc

Exemplar / OCT Stack
OCT Stack

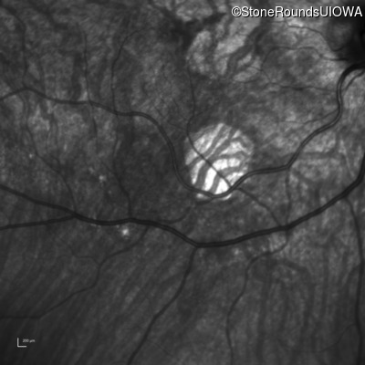
Infrared Fundus Photograph - Right - 20/25 -2 sc

Exemplar

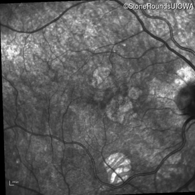
Infrared Fundus Photograph - Left - 20/50 -2 sc

Exemplar

Visit at age: 48 years

Optical Coherence Tomography - Right - 20/20 sc

Exemplar / OCT Stack
OCT Stack
OCT Stack
OCT Stack
OCT Stack
OCT Stack
OCT Stack
OCT Stack
OCT Stack

Optical Coherence Tomography - Left - 20/60 +2 sc

Exemplar / OCT Stack
OCT Stack
OCT Stack
OCT Stack
OCT Stack
OCT Stack
OCT Stack
OCT Stack
OCT Stack

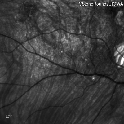
Infrared Fundus Photograph - Right - 20/20 sc

Exemplar

Infrared Fundus Photograph - Left - 20/60 +2 sc

Exemplar

Case Level Images

Diagnosis & molecular findings

Disease Gene Allele 1 variant(s) Allele 2 variant(s) Inheritance mode
MIDD MT-TL1 3243 A>G   MT
Disease:
Gene:
Allele 1:
3243 A>G
Allele 2:
 
Inheritance:
MT
Cite this case