Loading...

SR854

AD Retinitis Pigmentosa (IA1aii)

Male

Male

SR854

AD Retinitis Pigmentosa (IA1aii)

Male

Male

Visit at age: 23 years

Goldmann Visual Field - Right - 6/9 +2

Exemplar

Goldmann Visual Field - Left - 6/21

Exemplar

Visit at age: 24 years

Goldmann Visual Field - Right - 6/7.5

Exemplar

Goldmann Visual Field - Left - 6/15

Exemplar

Visit at age: 25 years

Goldmann Visual Field - Right - 6/7.5 +2

Exemplar

Goldmann Visual Field - Left - 6/12 -1

Exemplar

Visit at age: 26 years

Goldmann Visual Field - Right - 6/7.5

Exemplar

Goldmann Visual Field - Left - 6/15 -2

Exemplar

Visit at age: 27 years

Goldmann Visual Field - Right - 6/9 +1

Exemplar

Goldmann Visual Field - Left - 6/15 -2

Exemplar

Visit at age: 28 years

Goldmann Visual Field - Right - 6/7.5 sc

Exemplar

Goldmann Visual Field - Left - 6/15 -2 sc

Exemplar

Visit at age: 31 years

Goldmann Visual Field - Right - 6/7.5

Exemplar

Goldmann Visual Field - Left - 6/15 +1

Exemplar

Visit at age: 33 years

Goldmann Visual Field - Right - 6/12 +2 sc

Exemplar

Goldmann Visual Field - Left - 6/21 +2 sc

Exemplar

Visit at age: 40 years

Goldmann Visual Field - Right - 20/25

Exemplar

Goldmann Visual Field - Left - 20/100

Exemplar

Visit at age: 47 years

Goldmann Visual Field - Right - 20/30 +1

Exemplar

Goldmann Visual Field - Left - 20/20 -1

Exemplar

Visit at age: 52 years

Goldmann Visual Field - Right - 20/30 -2

Exemplar

Goldmann Visual Field - Left - 20/20 -2

Exemplar

Visit at age: 59 years

Fundus Photography - Right - 20/80 +1

Exemplar

Fundus Photography - Left - 20/30 +2

Exemplar

Fundus Montage - Right - 20/80 +1

Exemplar

Fundus Montage - Left - 20/30 +2

Exemplar

Goldmann Visual Field - Right - 20/80 +1

Exemplar

Goldmann Visual Field - Left - 20/30 +2

Exemplar

Optical Coherence Tomography - Right - 20/80 +1

Exemplar / OCT Stack
OCT Stack

Optical Coherence Tomography - Left - 20/30 +2

Exemplar / OCT Stack
OCT Stack

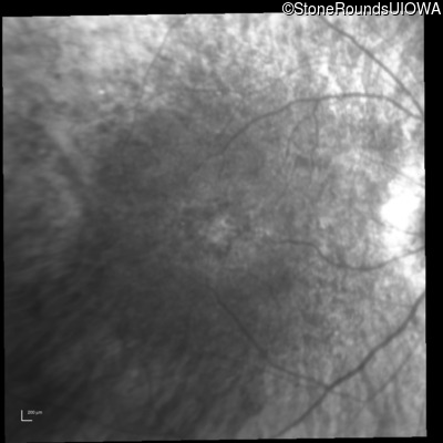
Infrared Fundus Photograph - Right - 20/80 +1

Exemplar

Infrared Fundus Photograph - Left - 20/30 +2

Exemplar

Visit at age: 60 years

Goldmann Visual Field - Right - 20/125

Exemplar

Goldmann Visual Field - Left - 20/40 -1

Exemplar

Optical Coherence Tomography - Right - 20/125

Exemplar / OCT Stack
OCT Stack

Optical Coherence Tomography - Left - 20/40 -1

Exemplar / OCT Stack
OCT Stack

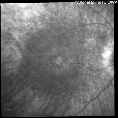
Infrared Fundus Photograph - Right - 20/125

Exemplar

Infrared Fundus Photograph - Left - 20/40 -1

Exemplar

Visit at age: 61 years

Goldmann Visual Field - Right - 20/125

Exemplar

Goldmann Visual Field - Left - 20/50 -2

Exemplar

Visit at age: 61 years (Visit 2)

Optical Coherence Tomography - Right - 20/125

Exemplar / OCT Stack
OCT Stack

Optical Coherence Tomography - Left - 20/50 -1

Exemplar / OCT Stack
OCT Stack

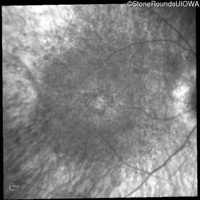
Infrared Fundus Photograph - Right - 20/125

Exemplar

Infrared Fundus Photograph - Left - 20/50 -1

Exemplar

Visit at age: 63 years

Goldmann Visual Field - Right - 20/160 -1

Exemplar

Goldmann Visual Field - Left - 20/63 +2

Exemplar

Optical Coherence Tomography - Right - 20/160 -1

Exemplar / OCT Stack
OCT Stack

Optical Coherence Tomography - Left - 20/63 +2

Exemplar / OCT Stack
OCT Stack

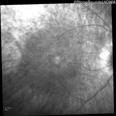
Infrared Fundus Photograph - Right - 20/160 -1

Exemplar

Infrared Fundus Photograph - Left - 20/63 +2

Exemplar

Visit at age: 64 years

Goldmann Visual Field - Right - 20/150

Exemplar

Goldmann Visual Field - Left - 20/100

Exemplar

Optical Coherence Tomography - Right - 20/150

Exemplar / OCT Stack
OCT Stack
OCT Stack

Optical Coherence Tomography - Left - 20/100

Exemplar / OCT Stack
OCT Stack
OCT Stack

Infrared Fundus Photograph - Right - 20/150

Exemplar

Infrared Fundus Photograph - Left - 20/100

Exemplar

Visit at age: 65 years

Goldmann Visual Field - Right - 20/100 -2

Exemplar

Goldmann Visual Field - Left - 20/63 -1

Exemplar

Optical Coherence Tomography - Right - 20/100 -2

Exemplar / OCT Stack
OCT Stack
OCT Stack

Optical Coherence Tomography - Left - 20/63 -1

Exemplar / OCT Stack
OCT Stack
OCT Stack

Infrared Fundus Photograph - Right - 20/100 -2

Exemplar

Infrared Fundus Photograph - Left - 20/63 -1

Exemplar

Visit at age: 66 years

Goldmann Visual Field - Right - 20/125 -1

Exemplar

Goldmann Visual Field - Left - 20/100 -1

Exemplar

Optical Coherence Tomography - Right - 20/125 -1

Exemplar / OCT Stack
OCT Stack
OCT Stack

Optical Coherence Tomography - Left - 20/100 -1

Exemplar / OCT Stack
OCT Stack
OCT Stack

Infrared Fundus Photograph - Right - 20/125 -1

Exemplar

Infrared Fundus Photograph - Left - 20/100 -1

Exemplar

Visit at age: 68 years

Fundus Photography - Right - 20/125 +1

Exemplar

Fundus Photography - Left - 20/100 -1

Exemplar

Goldmann Visual Field - Right - 20/125 +1

Exemplar

Goldmann Visual Field - Left - 20/100 -1

Exemplar

Optical Coherence Tomography - Right - 20/125 +1

Exemplar / OCT Stack
OCT Stack
OCT Stack

Optical Coherence Tomography - Left - 20/100 -1

Exemplar / OCT Stack
OCT Stack
OCT Stack

Infrared Fundus Photograph - Right - 20/125 +1

Exemplar

Infrared Fundus Photograph - Left - 20/100 -1

Exemplar

Visit at age: 69 years

Goldmann Visual Field - Right - 20/100

Exemplar

Goldmann Visual Field - Left - 20/125

Exemplar

Optical Coherence Tomography - Right - 20/100

Exemplar / OCT Stack
OCT Stack
OCT Stack

Optical Coherence Tomography - Left - 20/125

Exemplar / OCT Stack
OCT Stack
OCT Stack

Infrared Fundus Photograph - Right - 20/100

Exemplar

Infrared Fundus Photograph - Left - 20/125

Exemplar

Visit at age: 69 years (Visit 2)

Optical Coherence Tomography - Right - 20/100 -1

Exemplar / OCT Stack
OCT Stack
OCT Stack

Optical Coherence Tomography - Left - 20/160 -2

Exemplar / OCT Stack
OCT Stack
OCT Stack

Infrared Fundus Photograph - Right - 20/100 -1

Exemplar

Infrared Fundus Photograph - Left - 20/160 -2

Exemplar

Visit at age: 69 years (Visit 3)

Optical Coherence Tomography - Right - 20/200

Exemplar / OCT Stack
OCT Stack
OCT Stack

Optical Coherence Tomography - Left - 20/150

Exemplar / OCT Stack
OCT Stack
OCT Stack

Infrared Fundus Photograph - Right - 20/200

Exemplar

Infrared Fundus Photograph - Left - 20/150

Exemplar

Visit at age: 69 years (Visit 4)

Optical Coherence Tomography - Right - 20/150

Exemplar / OCT Stack
OCT Stack
OCT Stack

Optical Coherence Tomography - Left - 20/250

Exemplar / OCT Stack
OCT Stack
OCT Stack

Infrared Fundus Photograph - Right - 20/150

Exemplar

Infrared Fundus Photograph - Left - 20/250

Exemplar

Visit at age: 69 years (Visit 5)

Optical Coherence Tomography - Right - 20/100

Exemplar / OCT Stack
OCT Stack
OCT Stack

Optical Coherence Tomography - Left - 20/300

Exemplar / OCT Stack
OCT Stack
OCT Stack

Infrared Fundus Photograph - Right - 20/100

Exemplar

Infrared Fundus Photograph - Left - 20/300

Exemplar

Visit at age: 70 years

Optical Coherence Tomography - Right - 20/150

Exemplar / OCT Stack
OCT Stack
OCT Stack

Optical Coherence Tomography - Left - 20/300

Exemplar / OCT Stack
OCT Stack
OCT Stack

Infrared Fundus Photograph - Right - 20/150

Exemplar

Infrared Fundus Photograph - Left - 20/300

Exemplar

Visit at age: 70 years (Visit 2)

Optical Coherence Tomography - Right - 20/200

Exemplar / OCT Stack
OCT Stack

Optical Coherence Tomography - Left - 20/200

Exemplar / OCT Stack
OCT Stack

Infrared Fundus Photograph - Right - 20/200

Exemplar

Infrared Fundus Photograph - Left - 20/200

Exemplar

Case Level Images

Diagnosis & molecular findings

Disease Gene Allele 1 variant(s) Allele 2 variant(s) Inheritance mode
AD Retinitis Pigmentosa PRPF8 Thr1931Met ACG>ATG   AD
Gene:
Allele 1:
Thr1931Met ACG>ATG
Allele 2:
 
Inheritance:
AD
Cite this case