Loading...

SR1064

AD Retinitis Pigmentosa (IA1aii)

Female

Female

SR1064

AD Retinitis Pigmentosa (IA1aii)

Female

Female

Visit at age: 53 years

Fundus Photography - Right - 20/32

Exemplar

Fundus Photography - Left - 20/32

Exemplar

Fundus Montage - Right - 20/32

Exemplar

Fundus Montage - Left - 20/32

Exemplar

Goldmann Visual Field - Right - 20/32

Exemplar

Goldmann Visual Field - Left - 20/32

Exemplar

Optical Coherence Tomography - Right - 20/32

Exemplar / OCT Stack
OCT Stack

Optical Coherence Tomography - Left - 20/32

Exemplar / OCT Stack
OCT Stack

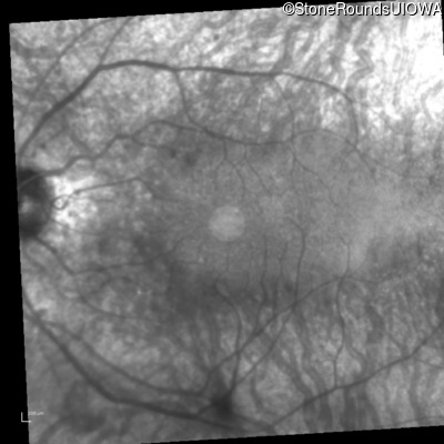
Infrared Fundus Photograph - Right - 20/32

Exemplar

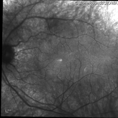
Infrared Fundus Photograph - Left - 20/32

Exemplar

Visit at age: 55 years

Goldmann Visual Field - Right - 20/40 -1

Exemplar

Goldmann Visual Field - Left - 20/32 -1

Exemplar

Optical Coherence Tomography - Right - 20/40 -1

Exemplar / OCT Stack
OCT Stack

Optical Coherence Tomography - Left - 20/32 -1

Exemplar / OCT Stack
OCT Stack

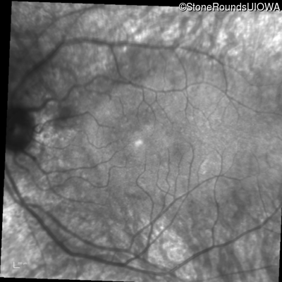
Infrared Fundus Photograph - Right - 20/40 -1

Exemplar

Infrared Fundus Photograph - Left - 20/32 -1

Exemplar

Visit at age: 55 years (Visit 2)

Optical Coherence Tomography - Right - 20/30

Exemplar / OCT Stack
OCT Stack

Optical Coherence Tomography - Left - 20/30 -2

Exemplar / OCT Stack
OCT Stack

Infrared Fundus Photograph - Right - 20/30

Exemplar

Infrared Fundus Photograph - Left - 20/30 -2

Exemplar

Visit at age: 56 years

Goldmann Visual Field - Right - 20/40

Exemplar

Goldmann Visual Field - Left - 20/32 -1

Exemplar

Optical Coherence Tomography - Right - 20/40

Exemplar / OCT Stack
OCT Stack

Optical Coherence Tomography - Left - 20/32 -1

Exemplar / OCT Stack
OCT Stack

Infrared Fundus Photograph - Right - 20/40

Exemplar

Infrared Fundus Photograph - Left - 20/32 -1

Exemplar

Visit at age: 58 years

Goldmann Visual Field - Right - 20/40

Exemplar

Goldmann Visual Field - Left - 20/32 -2

Exemplar

Optical Coherence Tomography - Right - 20/40

Exemplar / OCT Stack
OCT Stack
OCT Stack

Optical Coherence Tomography - Left - 20/32 -2

Exemplar / OCT Stack
OCT Stack
OCT Stack

Infrared Fundus Photograph - Right - 20/40

Exemplar

Infrared Fundus Photograph - Left - 20/32 -2

Exemplar

Visit at age: 59 years

Goldmann Visual Field - Right - 20/40 -1

Exemplar

Goldmann Visual Field - Left - 20/40

Exemplar

Visit at age: 60 years

Optical Coherence Tomography - Right - 20/50 +2

Exemplar / OCT Stack
OCT Stack
OCT Stack

Optical Coherence Tomography - Left - 20/40

Exemplar / OCT Stack
OCT Stack
OCT Stack

Infrared Fundus Photograph - Right - 20/50 +2

Exemplar

Infrared Fundus Photograph - Left - 20/40

Exemplar

Visit at age: 61 years

Goldmann Visual Field - Right - 20/32 sc

Exemplar

Goldmann Visual Field - Left - 20/32 sc

Exemplar

Visit at age: 63 years

Optical Coherence Tomography - Right - 20/25 -1 sc

Exemplar / OCT Stack
OCT Stack

Optical Coherence Tomography - Left - 20/25 sc

Exemplar / OCT Stack
OCT Stack

Infrared Fundus Photograph - Right - 20/25 -1 sc

Exemplar

Infrared Fundus Photograph - Left - 20/25 sc

Exemplar

Case Level Images

Diagnosis & molecular findings

Disease Gene Allele 1 variant(s) Allele 2 variant(s) Inheritance mode
AD Retinitis Pigmentosa RP1 Asn760 del5aaTAAAT   AD
Gene:
Allele 1:
Asn760 del5aaTAAAT
Allele 2:
 
Inheritance:
AD
Cite this case