Loading...

SR549

AD Retinitis Pigmentosa (IA1aii)

Female

Female

SR549

AD Retinitis Pigmentosa (IA1aii)

Female

Female

Visit at age: 13 years

Fundus Photography - Right - 20/32 -1

Exemplar

Fundus Photography - Left - 20/32

Exemplar

Fundus Montage - Right - 20/32 -1

Exemplar

Fundus Montage - Left - 20/32

Exemplar

Goldmann Visual Field - Right - 20/32 -1

Exemplar

Goldmann Visual Field - Left - 20/32

Exemplar

Optical Coherence Tomography - Right - 20/32 -1

Exemplar / OCT Stack
OCT Stack
OCT Stack

Optical Coherence Tomography - Left - 20/32

Exemplar / OCT Stack
OCT Stack
OCT Stack

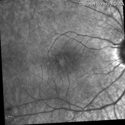
Infrared Fundus Photograph - Right - 20/32 -1

Exemplar

Infrared Fundus Photograph - Left - 20/32

Exemplar

Visit at age: 15 years

Goldmann Visual Field - Right - 20/32 -1

Exemplar

Goldmann Visual Field - Left - 20/32 -1

Exemplar

Optical Coherence Tomography - Right - 20/32 -1

Exemplar / OCT Stack
OCT Stack
OCT Stack

Optical Coherence Tomography - Left - 20/32 -1

Exemplar / OCT Stack
OCT Stack
OCT Stack

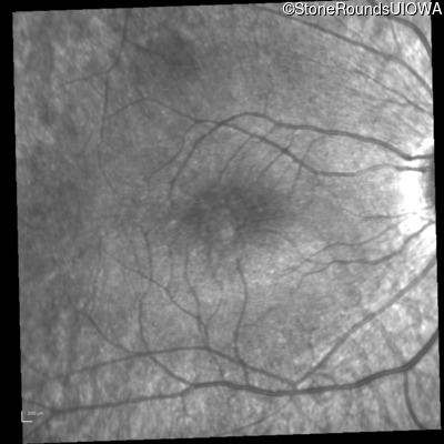
Infrared Fundus Photograph - Right - 20/32 -1

Exemplar

Infrared Fundus Photograph - Left - 20/32 -1

Exemplar

Visit at age: 17 years

Goldmann Visual Field - Right - 20/32 +2

Exemplar

Goldmann Visual Field - Left - 20/40

Exemplar

Optical Coherence Tomography - Right - 20/32 +2

Exemplar / OCT Stack
OCT Stack
OCT Stack

Optical Coherence Tomography - Left - 20/40

Exemplar / OCT Stack
OCT Stack
OCT Stack

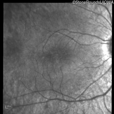
Infrared Fundus Photograph - Right - 20/32 +2

Exemplar

Infrared Fundus Photograph - Left - 20/40

Exemplar

Visit at age: 18 years

Goldmann Visual Field - Right - 20/25 -2

Exemplar

Goldmann Visual Field - Left - 20/40 +2

Exemplar

Optical Coherence Tomography - Right - 20/25 -2

Exemplar / OCT Stack
OCT Stack
OCT Stack

Optical Coherence Tomography - Left - 20/40 +2

Exemplar / OCT Stack
OCT Stack
OCT Stack

Infrared Fundus Photograph - Right - 20/25 -2

Exemplar

Infrared Fundus Photograph - Left - 20/40 +2

Exemplar

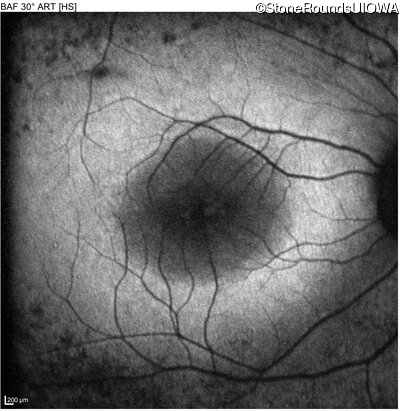
Blue Autofluorescence - Right - 20/25 -2

Exemplar

Blue Autofluorescence - Left - 20/40 +2

Exemplar

Visit at age: 20 years

Goldmann Visual Field - Right - 20/32 -1

Exemplar

Goldmann Visual Field - Left - 20/40 -1 sc

Exemplar

Optical Coherence Tomography - Right - 20/32 -1

Exemplar / OCT Stack
OCT Stack

Optical Coherence Tomography - Left - 20/40 -1 sc

Exemplar / OCT Stack
OCT Stack

Infrared Fundus Photograph - Right - 20/32 -1

Exemplar

Infrared Fundus Photograph - Left - 20/40 -1 sc

Exemplar

Case Level Images

Diagnosis & molecular findings

Disease Gene Allele 1 variant(s) Allele 2 variant(s) Inheritance mode
AD Retinitis Pigmentosa RHO Ala166Asp GCC>GAC   AD
Gene:
Allele 1:
Ala166Asp GCC>GAC
Allele 2:
 
Inheritance:
AD
Cite this case