Loading...

SR760

Blue Cone Monochromacy (IA2e)

Male

Male

SR760

Blue Cone Monochromacy (IA2e)

Male

Male

Visit at age: 7 years

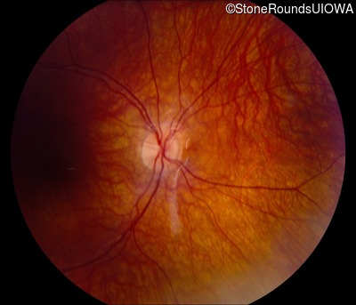
Fundus Photography - Right - 10/125

Exemplar

Fundus Photography - Left - 10/200

Exemplar

Optical Coherence Tomography - Right - 10/125

Exemplar

Optical Coherence Tomography - Left - 10/200

Exemplar / OCT Stack

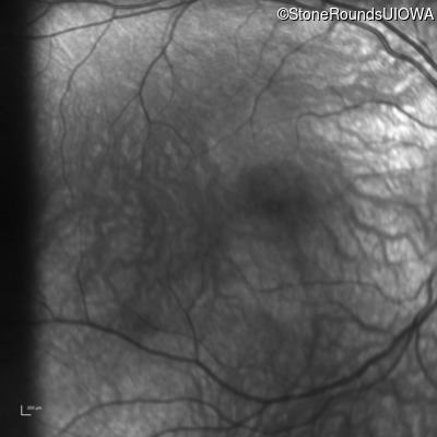
Infrared Fundus Photograph - Right - 10/125

Exemplar

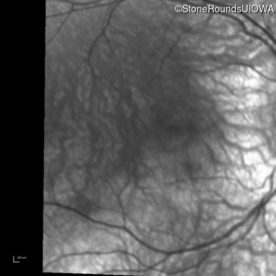
Infrared Fundus Photograph - Left - 10/200

Exemplar

Visit at age: 10 years

Goldmann Visual Field - Right - 10/200 sc

Exemplar

Goldmann Visual Field - Left - 10/200 sc

Exemplar

Optical Coherence Tomography - Right - 10/200 sc

Exemplar / OCT Stack
OCT Stack

Optical Coherence Tomography - Left - 10/200 sc

Exemplar / OCT Stack
OCT Stack

Infrared Fundus Photograph - Right - 10/200 sc

Exemplar

Infrared Fundus Photograph - Left - 10/200 sc

Exemplar

Visit at age: 11 years

Goldmann Visual Field - Right - 10/125 +2

Exemplar

Goldmann Visual Field - Left - 10/160

Exemplar

Optical Coherence Tomography - Right - 10/125 +2

Exemplar / OCT Stack
OCT Stack
OCT Stack
OCT Stack

Optical Coherence Tomography - Left - 10/160

Exemplar / OCT Stack

Infrared Fundus Photograph - Right - 10/125 +2

Exemplar

Infrared Fundus Photograph - Left - 10/160

Exemplar

Case Level Images

Diagnosis & molecular findings

Disease Gene Allele 1 variant(s) Allele 2 variant(s) Inheritance mode
Blue Cone Monochromacy L/M OPSIN Cluster Promoter Deletion LCR   XL
Allele 1:
Promoter Deletion LCR
Allele 2:
 
Inheritance:
XL
Cite this case