Case
SR1665
Student Mode
AR Retinitis Pigmentosa (IA1aiii)
Female
Female
Hidden
SR1665
Student Mode
AR Retinitis Pigmentosa (IA1aiii)
Female
Female
Visit at age: 39 years
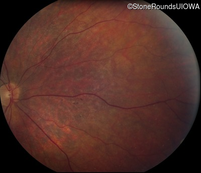
Fundus Photography - Right - 20/20 +3
Exemplar
Fundus Photography - Left - 20/20 +1
Exemplar
Fundus Montage - Right - 20/20 +3
Exemplar
Fundus Montage - Left - 20/20 +1
Exemplar
Goldmann Visual Field - Right - 20/20 +3
Exemplar
Goldmann Visual Field - Left - 20/20 +1
Exemplar
Visit at age: 51 years
Fundus Photography - Right - 20/125 -2
Exemplar
Fundus Photography - Left - 20/125 -1
Exemplar
Fundus Montage - Right - 20/125 -2
Exemplar
Fundus Montage - Left - 20/125 -1
Exemplar
Goldmann Visual Field - Right - 20/125 -2
Exemplar
Goldmann Visual Field - Left - 20/125 -1
Exemplar
Optical Coherence Tomography - Right - 20/125 -2
Exemplar / OCT Stack
OCT Stack
OCT Stack
OCT Stack
OCT Stack
Optical Coherence Tomography - Left - 20/125 -1
Exemplar / OCT Stack
OCT Stack
OCT Stack
OCT Stack
OCT Stack
Infrared Fundus Photograph - Right - 20/125 -2
Exemplar
Infrared Fundus Photograph - Left - 20/125 -1
Exemplar
Visit at age: 53 years
Goldmann Visual Field - Right - 10/200
Exemplar
Goldmann Visual Field - Left - 10/200
Exemplar
Optical Coherence Tomography - Right - 10/200
Exemplar / OCT Stack
OCT Stack
OCT Stack
Optical Coherence Tomography - Left - 10/200
Exemplar / OCT Stack
OCT Stack
OCT Stack
Infrared Fundus Photograph - Right - 10/200
Exemplar
Infrared Fundus Photograph - Left - 10/200
Exemplar
Case Level Images
Diagnosis & molecular findings
| Disease |
Gene |
Allele 1 variant(s) |
Allele 2 variant(s) |
Inheritance mode |
| AR Retinitis Pigmentosa |
USH2A |
Cys759Phe TGC>TTC |
Cys759Phe TGC>TTC / Pro2870Leu CCA>CTA |
AR |
Allele 1:
Cys759Phe TGC>TTC
Allele 2:
Cys759Phe TGC>TTC / Pro2870Leu CCA>CTA
False Genotype Rate:
Gene Count:
Submit Final Diagnosis
Clear Diagnosis