Loading...

SR29

Malattia Leventinese (IIJ)

Female

Female

SR29

Malattia Leventinese (IIJ)

Female

Female

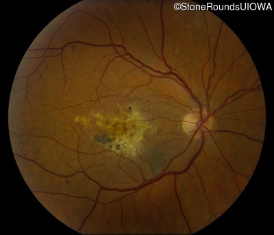
Visit at age: 19 years

Fundus Photography - Right - 20/20 sc

Exemplar

Fundus Photography - Left - 20/20 sc

Exemplar

Visit at age: 35 years

Fundus Photography - Right - 20/25 -2 sc

Exemplar

Fundus Photography - Left - 20/20 -1 sc

Exemplar

Visit at age: 43 years

Fundus Photography - Right - 20/25 +2

Exemplar

Fundus Photography - Left - 20/30

Exemplar

Visit at age: 47 years

Fundus Photography - Right - 20/60

Exemplar

Fundus Photography - Left - 20/70 -1

Exemplar

Visit at age: 58 years

Optical Coherence Tomography - Right - 20/250

Exemplar / OCT Stack

Infrared Fundus Photograph - Right - 20/250

Exemplar

Visit at age: 58 years (Visit 2)

Optical Coherence Tomography - Right - 20/150

Exemplar / OCT Stack
OCT Stack

Infrared Fundus Photograph - Right - 20/150

Exemplar

Visit at age: 58 years (Visit 3)

Optical Coherence Tomography - Right - 20/80 -1

Exemplar / OCT Stack
OCT Stack

Infrared Fundus Photograph - Right - 20/80 -1

Exemplar

Visit at age: 59 years

Optical Coherence Tomography - Right - 20/100

Exemplar / OCT Stack
OCT Stack

Infrared Fundus Photograph - Right - 20/100

Exemplar

Visit at age: 60 years

Optical Coherence Tomography - Right - 20/200

Exemplar / OCT Stack
OCT Stack

Infrared Fundus Photograph - Right - 20/200

Exemplar

Visit at age: 60 years (Visit 2)

Optical Coherence Tomography - Right - 20/100

Exemplar / OCT Stack
OCT Stack

Infrared Fundus Photograph - Right - 20/100

Exemplar

Visit at age: 60 years (Visit 3)

Optical Coherence Tomography - Right - 20/150

Exemplar / OCT Stack
OCT Stack

Infrared Fundus Photograph - Right - 20/150

Exemplar

Visit at age: 60 years (Visit 4)

Optical Coherence Tomography - Right - 20/125 -2

Exemplar / OCT Stack
OCT Stack

Infrared Fundus Photograph - Right - 20/125 -2

Exemplar

Visit at age: 60 years (Visit 5)

Optical Coherence Tomography - Right - 20/150

Exemplar / OCT Stack
OCT Stack

Infrared Fundus Photograph - Right - 20/150

Exemplar

Visit at age: 60 years (Visit 6)

Optical Coherence Tomography - Right - 20/125 +1

Exemplar / OCT Stack
OCT Stack

Infrared Fundus Photograph - Right - 20/125 +1

Exemplar

Visit at age: 60 years (Visit 7)

Optical Coherence Tomography - Right - 20/125 -1

Exemplar / OCT Stack
OCT Stack

Infrared Fundus Photograph - Right - 20/125 -1

Exemplar

Visit at age: 60 years (Visit 8)

Optical Coherence Tomography - Right - 20/125 -1

Exemplar / OCT Stack
OCT Stack

Infrared Fundus Photograph - Right - 20/125 -1

Exemplar

Visit at age: 60 years (Visit 9)

Optical Coherence Tomography - Right - 20/100 +1

Exemplar / OCT Stack
OCT Stack

Infrared Fundus Photograph - Right - 20/100 +1

Exemplar

Visit at age: 61 years

Optical Coherence Tomography - Right - 20/100

Exemplar / OCT Stack
OCT Stack

Infrared Fundus Photograph - Right - 20/100

Exemplar

Visit at age: 61 years (Visit 2)

Optical Coherence Tomography - Right - 20/100

Exemplar / OCT Stack
OCT Stack

Infrared Fundus Photograph - Right - 20/100

Exemplar

Visit at age: 61 years (Visit 3)

Optical Coherence Tomography - Right - 20/150 sc

Exemplar / OCT Stack
OCT Stack

Infrared Fundus Photograph - Right - 20/150 sc

Exemplar

Visit at age: 61 years (Visit 4)

Optical Coherence Tomography - Right - 20/150 sc

Exemplar / OCT Stack
OCT Stack

Infrared Fundus Photograph - Right - 20/150 sc

Exemplar

Visit at age: 61 years (Visit 5)

Optical Coherence Tomography - Right - 20/150 sc

Exemplar / OCT Stack
OCT Stack

Infrared Fundus Photograph - Right - 20/150 sc

Exemplar

Visit at age: 61 years (Visit 6)

Optical Coherence Tomography - Right - 20/200 sc

Exemplar / OCT Stack
OCT Stack

Infrared Fundus Photograph - Right - 20/200 sc

Exemplar

Visit at age: 61 years (Visit 7)

Optical Coherence Tomography - Right - 20/150 sc

Exemplar / OCT Stack
OCT Stack

Infrared Fundus Photograph - Right - 20/150 sc

Exemplar

Visit at age: 62 years

Optical Coherence Tomography - Right - 20/200 sc

Exemplar / OCT Stack
OCT Stack

Infrared Fundus Photograph - Right - 20/200 sc

Exemplar

Case Level Images

Diagnosis & molecular findings

Disease Gene Allele 1 variant(s) Allele 2 variant(s) Inheritance mode
Malattia Leventinese EFEMP1 Arg345Trp CGG>TGG   AD
Gene:
Allele 1:
Arg345Trp CGG>TGG
Allele 2:
 
Inheritance:
AD
Cite this case