Loading...

SR27

Achromatopsia (IA2d)

Male

Male

SR27

Student Mode

1

Achromatopsia (IA2d)

2

Male

Male

Visit at age: 8 years

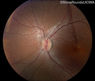
Fundus Photography - Right - 20/50 -1

Exemplar

Fundus Photography - Left - 20/50 +2

Exemplar

Fundus Montage - Right - 20/50 -1

Exemplar

Fundus Montage - Left - 20/50 +2

Exemplar

Goldmann Visual Field - Right - 20/50 -1

Exemplar

Goldmann Visual Field - Left - 20/50 +2

Exemplar

Optical Coherence Tomography - Right - 20/50 -1

Exemplar / OCT Stack
OCT Stack

Optical Coherence Tomography - Left - 20/50 +2

Exemplar / OCT Stack
OCT Stack

Infrared Fundus Photograph - Right - 20/50 -1

Exemplar

Infrared Fundus Photograph - Left - 20/50 +2

Exemplar

Case Level Images

Diagnosis & molecular findings

Disease Gene Allele 1 variant(s) Allele 2 variant(s) Inheritance mode
Achromatopsia CNGB3 Thr383 del1aC Thr383 del1aC AR
Disease:
Gene:
Allele 1:
Thr383 del1aC
Allele 2:
Thr383 del1aC
Inheritance:
AR
Cite this case