Case
SR2282
Student Mode
ECORD (IA2c)
Male
Male
Hidden
SR2282
Student Mode
ECORD (IA2c)
Male
Male
Visit at age: 17 years
Fundus Photography - Right - 20/160
Exemplar
Fundus Photography - Left - 20/80 -1
Exemplar
Fundus Montage - Right - 20/160
Exemplar
Fundus Montage - Left - 20/80 -1
Exemplar
Goldmann Visual Field - Right - 20/160
Exemplar
Goldmann Visual Field - Left - 20/80 -1
Exemplar
Optical Coherence Tomography - Right - 20/160
Exemplar / OCT Stack
OCT Stack
OCT Stack
Optical Coherence Tomography - Left - 20/80 -1
Exemplar / OCT Stack
OCT Stack
OCT Stack
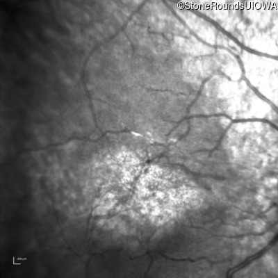
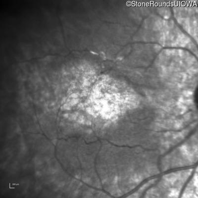
Infrared Fundus Photograph - Right - 20/160
Exemplar
Infrared Fundus Photograph - Left - 20/80 -1
Exemplar
Visit at age: 17 years (Visit 2)
Fundus Photography - Right - 20/100 +1
Exemplar
Optical Coherence Tomography - Right - 20/100 +1
Exemplar / OCT Stack
OCT Stack
OCT Stack
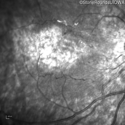
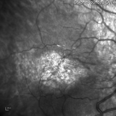
Infrared Fundus Photograph - Right - 20/100 +1
Exemplar
Visit at age: 18 years
Fundus Photography - Right - 20/125 -2
Exemplar
Fundus Photography - Left - 20/125 -2
Exemplar
Fundus Montage - Right - 20/125 -2
Exemplar
Optical Coherence Tomography - Right - 20/125 -2
Exemplar / OCT Stack
OCT Stack
Optical Coherence Tomography - Left - 20/125 -2
Exemplar / OCT Stack
OCT Stack
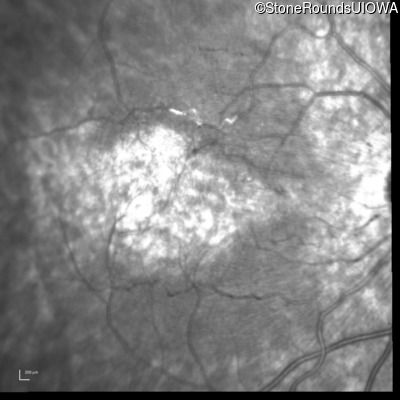
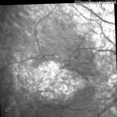
Infrared Fundus Photograph - Right - 20/125 -2
Exemplar
Infrared Fundus Photograph - Left - 20/125 -2
Exemplar
Visit at age: 20 years
Fundus Photography - Right - 20/160 -2
Exemplar
Fundus Photography - Left - 20/200 +2
Exemplar
Fundus Montage - Right - 20/160 -2
Exemplar
Goldmann Visual Field - Right - 20/160 -2
Exemplar
Goldmann Visual Field - Left - 20/200 +2
Exemplar
Optical Coherence Tomography - Right - 20/160 -2
Exemplar / OCT Stack
OCT Stack
OCT Stack
Optical Coherence Tomography - Left - 20/200 +2
Exemplar / OCT Stack
OCT Stack
OCT Stack
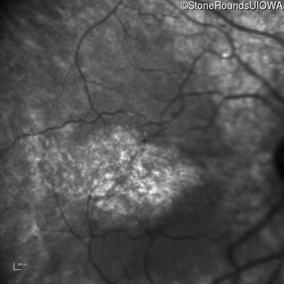
Infrared Fundus Photograph - Right - 20/160 -2
Exemplar
Infrared Fundus Photograph - Left - 20/200 +2
Exemplar
Case Level Images
Diagnosis & molecular findings
| Disease |
Gene |
Allele 1 variant(s) |
Allele 2 variant(s) |
Inheritance mode |
| ECORD |
CRB1 |
Gly770Ser GGC>AGC |
Cys896Stop TGT>TGA |
AR |
Allele 1:
Gly770Ser GGC>AGC
Allele 2:
Cys896Stop TGT>TGA
False Genotype Rate:
Gene Count:
Submit Final Diagnosis
Clear Diagnosis