Loading...

SR715

Leber Congenital Amaurosis (IA2a)

Female

Female

SR715

Leber Congenital Amaurosis (IA2a)

Female

Female

Visit at age: 7 years

Fundus Photography - Right - No Light Perception

Exemplar

Fundus Photography - Left - No Light Perception

Exemplar

Fundus Montage - Right - No Light Perception

Exemplar

Fundus Montage - Left - No Light Perception

Exemplar

Visit at age: 11 years

Fundus Photography - Right - No Light Perception

Exemplar

Fundus Photography - Left - No Light Perception

Exemplar

Visit at age: 14 years

Fundus Photography - Right - No Light Perception

Exemplar

Fundus Photography - Left - No Light Perception

Exemplar

Fundus Montage - Right - No Light Perception

Exemplar

Fundus Montage - Left - No Light Perception

Exemplar

Optical Coherence Tomography - Right - No Light Perception

Exemplar / OCT Stack

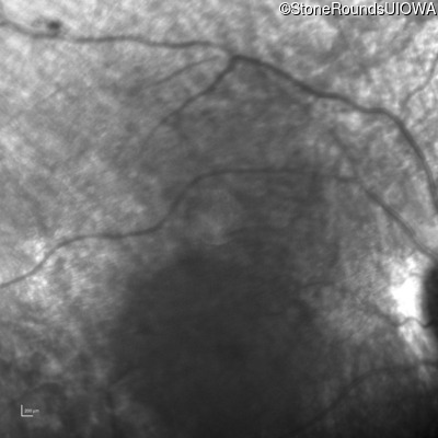
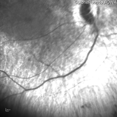
Infrared Fundus Photograph - Right - No Light Perception

Exemplar

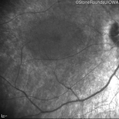
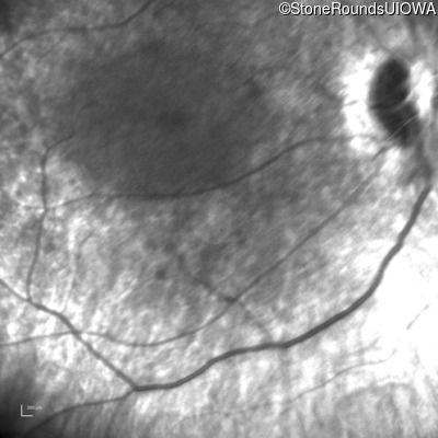
Infrared Fundus Photograph - Left - No Light Perception

Exemplar

Visit at age: 16 years

Optical Coherence Tomography - Right - No Light Perception

Exemplar / OCT Stack
OCT Stack
OCT Stack
OCT Stack

Optical Coherence Tomography - Left - No Light Perception

Exemplar / OCT Stack
OCT Stack
OCT Stack
OCT Stack

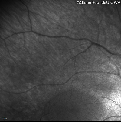
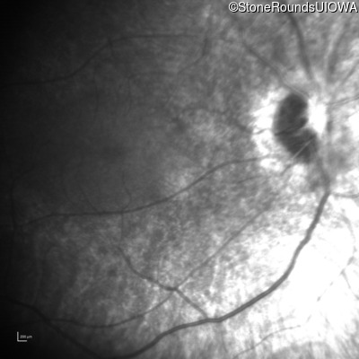
Infrared Fundus Photograph - Right - No Light Perception

Exemplar

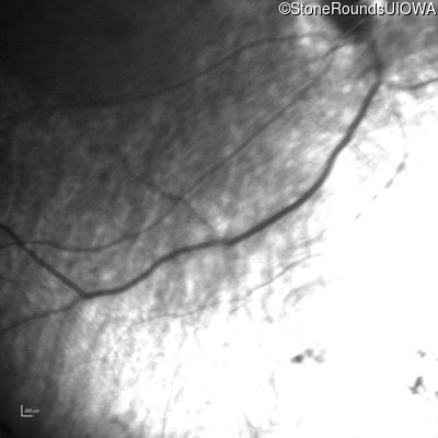
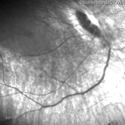
Infrared Fundus Photograph - Left - No Light Perception

Exemplar

Visit at age: 18 years

Optical Coherence Tomography - Right - Light Perception

Exemplar

Optical Coherence Tomography - Left - Light Perception

Exemplar

Infrared Fundus Photograph - Right - Light Perception

Exemplar

Infrared Fundus Photograph - Left - Light Perception

Exemplar

Visit at age: 20 years

Optical Coherence Tomography - Right - Light Perception

Exemplar / OCT Stack
OCT Stack
OCT Stack
OCT Stack
OCT Stack

Optical Coherence Tomography - Left - Light Perception

Exemplar / OCT Stack
OCT Stack
OCT Stack
OCT Stack
OCT Stack

Infrared Fundus Photograph - Right - Light Perception

Exemplar

Infrared Fundus Photograph - Left - Light Perception

Exemplar

Visit at age: 24 years

Optical Coherence Tomography - Right - Light Perception

Exemplar / OCT Stack
OCT Stack
OCT Stack
OCT Stack
OCT Stack
OCT Stack
OCT Stack
OCT Stack
OCT Stack
OCT Stack
OCT Stack
OCT Stack
OCT Stack
OCT Stack
OCT Stack

Optical Coherence Tomography - Left - Light Perception

Exemplar / OCT Stack
OCT Stack
OCT Stack
OCT Stack
OCT Stack

Infrared Fundus Photograph - Right - Light Perception

Exemplar

Infrared Fundus Photograph - Left - Light Perception

Exemplar

Case Level Images

Diagnosis & molecular findings

Disease Gene Allele 1 variant(s) Allele 2 variant(s) Inheritance mode
Leber Congenital Amaurosis CEP290 IVS26+1655 A>G Glu1483 del4gAGAA AR
Gene:
Allele 1:
IVS26+1655 A>G
Allele 2:
Glu1483 del4gAGAA
Inheritance:
AR
Cite this case