Loading...

SR431

XL Choroideremia (IIIA1a)

Male

Male

SR431

XL Choroideremia (IIIA1a)

Male

Male

Visit at age: 30 years

Fundus Photography - Right - 20/16

Exemplar

Fundus Photography - Left - 20/12.5 -2

Exemplar

Fundus Montage - Right - 20/16

Exemplar

Fundus Montage - Left - 20/12.5 -2

Exemplar

Goldmann Visual Field - Right - 20/16

Exemplar

Goldmann Visual Field - Left - 20/12.5 -2

Exemplar

Optical Coherence Tomography - Right - 20/16

Exemplar / OCT Stack
OCT Stack

Optical Coherence Tomography - Left - 20/12.5 -2

Exemplar / OCT Stack
OCT Stack

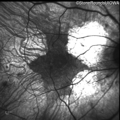
Infrared Fundus Photograph - Right - 20/16

Exemplar

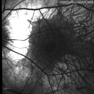
Infrared Fundus Photograph - Left - 20/12.5 -2

Exemplar

Visit at age: 32 years

Goldmann Visual Field - Right - 20/20 -1

Exemplar

Goldmann Visual Field - Left - 20/16

Exemplar

Optical Coherence Tomography - Right - 20/20 -1

Exemplar / OCT Stack
OCT Stack
OCT Stack

Optical Coherence Tomography - Left - 20/16

Exemplar / OCT Stack
OCT Stack
OCT Stack

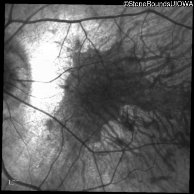
Infrared Fundus Photograph - Right - 20/20 -1

Exemplar

Infrared Fundus Photograph - Left - 20/16

Exemplar

Visit at age: 34 years

Goldmann Visual Field - Right - 20/20 +1

Exemplar

Goldmann Visual Field - Left - 20/16 -2

Exemplar

Optical Coherence Tomography - Right - 20/20 +1

Exemplar / OCT Stack
OCT Stack
OCT Stack

Optical Coherence Tomography - Left - 20/16 -2

Exemplar / OCT Stack
OCT Stack
OCT Stack

Infrared Fundus Photograph - Right - 20/20 +1

Exemplar

Infrared Fundus Photograph - Left - 20/16 -2

Exemplar

Swept-Source OCT - Right - 20/20 +1

Exemplar

Swept-Source OCT - Left - 20/16 -2

Exemplar

Visit at age: 36 years

Goldmann Visual Field - Right - 20/15 -2

Exemplar

Goldmann Visual Field - Left - 20/15 -2

Exemplar

Optical Coherence Tomography - Right - 20/15 -2

Exemplar / OCT Stack
OCT Stack
OCT Stack

Optical Coherence Tomography - Left - 20/15 -2

Exemplar / OCT Stack
OCT Stack
OCT Stack

Infrared Fundus Photograph - Right - 20/15 -2

Exemplar

Infrared Fundus Photograph - Left - 20/15 -2

Exemplar

Swept-Source OCT - Right - 20/15 -2

Exemplar

Swept-Source OCT - Left - 20/15 -2

Exemplar

Visit at age: 38 years

Optical Coherence Tomography - Right - 20/20

Exemplar / OCT Stack
OCT Stack
OCT Stack

Optical Coherence Tomography - Left - 20/20

Exemplar / OCT Stack
OCT Stack
OCT Stack

Infrared Fundus Photograph - Right - 20/20

Exemplar

Infrared Fundus Photograph - Left - 20/20

Exemplar

Case Level Images

Diagnosis & molecular findings

Disease Gene Allele 1 variant(s) Allele 2 variant(s) Inheritance mode
XL Choroideremia CHM Arg253Stop CGA>TGA   XL
Disease:
Gene:
Allele 1:
Arg253Stop CGA>TGA
Allele 2:
 
Inheritance:
XL
Cite this case