Loading...

SR2306

AD Cone and Cone Rod Dystrophy (IA1bii)

Female

Female

SR2306

AD Cone and Cone Rod Dystrophy (IA1bii)

Female

Female

Visit at age: 65 years

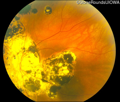
Fundus Photography - Right - 20/160 -2

Exemplar

Fundus Photography - Left - 10/140

Exemplar

Goldmann Visual Field - Right - 20/160 -2

Exemplar

Goldmann Visual Field - Left - 10/140

Exemplar

Optical Coherence Tomography - Right - 20/160 -2

Exemplar / OCT Stack
OCT Stack
OCT Stack

Optical Coherence Tomography - Left - 10/140

Exemplar / OCT Stack
OCT Stack
OCT Stack

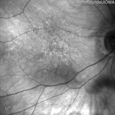
Infrared Fundus Photograph - Right - 20/160 -2

Exemplar

Infrared Fundus Photograph - Left - 10/140

Exemplar

Blue Autofluorescence - Right - 20/160 -2

Exemplar

Blue Autofluorescence - Left - 10/140

Exemplar

Visit at age: 67 years

Optical Coherence Tomography - Right - 10/80

Exemplar / OCT Stack
OCT Stack
OCT Stack

Optical Coherence Tomography - Left - 10/200

Exemplar / OCT Stack
OCT Stack
OCT Stack

Infrared Fundus Photograph - Right - 10/80

Exemplar

Infrared Fundus Photograph - Left - 10/200

Exemplar

Visit at age: 69 years

Fundus Photography - Right - 10/100 +1

Exemplar

Fundus Photography - Left - 10/125

Exemplar

Fundus Montage - Right - 10/100 +1

Exemplar

Fundus Montage - Left - 10/125

Exemplar

Optical Coherence Tomography - Right - 10/100 +1

Exemplar / OCT Stack
OCT Stack

Optical Coherence Tomography - Left - 10/125

Exemplar / OCT Stack
OCT Stack

Infrared Fundus Photograph - Right - 10/100 +1

Exemplar

Infrared Fundus Photograph - Left - 10/125

Exemplar

Case Level Images

Diagnosis & molecular findings

Disease Gene Allele 1 variant(s) Allele 2 variant(s) Inheritance mode
AD Cone and Cone Rod Dystrophy GUCY2D Arg838Cys CGC>TGC   AD
Gene:
Allele 1:
Arg838Cys CGC>TGC
Allele 2:
 
Inheritance:
AD
Cite this case