Loading...

SR19

AR Stargardt Disease (IIA)

Female

Female

SR19

AR Stargardt Disease (IIA)

Female

Female

Visit at age: 21 years

Fundus Photography - Right - 20/30 -2

Exemplar

Fundus Photography - Left - 20/40 +2

Exemplar

Goldmann Visual Field - Right - 20/30 -2

Exemplar

Goldmann Visual Field - Left - 20/40 +2

Exemplar

Visit at age: 23 years

Goldmann Visual Field - Right - 20/32 -1

Exemplar

Goldmann Visual Field - Left - 20/50 -2

Exemplar

Visit at age: 24 years

Optical Coherence Tomography - Right - 20/50 +2

Exemplar / OCT Stack

Optical Coherence Tomography - Left - 20/60

Exemplar / OCT Stack

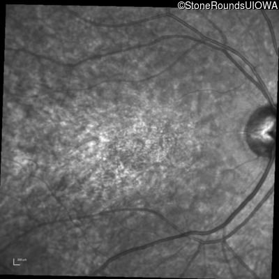
Infrared Fundus Photograph - Right - 20/50 +2

Exemplar

Infrared Fundus Photograph - Left - 20/60

Exemplar

Visit at age: 26 years

Goldmann Visual Field - Right - 20/32 -2

Exemplar

Goldmann Visual Field - Left - 20/40 +2

Exemplar

Visit at age: 29 years

Goldmann Visual Field - Right - 20/50 -1

Exemplar

Goldmann Visual Field - Left - 20/50 +1

Exemplar

Optical Coherence Tomography - Right - 20/50 -1

Exemplar / OCT Stack
OCT Stack

Optical Coherence Tomography - Left - 20/50 +1

Exemplar / OCT Stack
OCT Stack

Infrared Fundus Photograph - Right - 20/50 -1

Exemplar

Infrared Fundus Photograph - Left - 20/50 +1

Exemplar

Visit at age: 30 years

Goldmann Visual Field - Right - 20/40

Exemplar

Goldmann Visual Field - Left - 20/40

Exemplar

Optical Coherence Tomography - Right - 20/40

Exemplar / OCT Stack
OCT Stack
OCT Stack

Optical Coherence Tomography - Left - 20/40

Exemplar / OCT Stack
OCT Stack
OCT Stack

Infrared Fundus Photograph - Right - 20/40

Exemplar

Infrared Fundus Photograph - Left - 20/40

Exemplar

Visit at age: 33 years

Goldmann Visual Field - Right - 20/40 -2

Exemplar

Goldmann Visual Field - Left - 20/63 -1

Exemplar

Optical Coherence Tomography - Right - 20/40 -2

Exemplar / OCT Stack
OCT Stack
OCT Stack

Optical Coherence Tomography - Left - 20/63 -1

Exemplar / OCT Stack
OCT Stack
OCT Stack

Infrared Fundus Photograph - Right - 20/40 -2

Exemplar

Infrared Fundus Photograph - Left - 20/63 -1

Exemplar

Visit at age: 36 years

Fundus Photography - Right - 20/200 -1

Exemplar

Fundus Photography - Left - 20/200 -2

Exemplar

Goldmann Visual Field - Right - 20/200 -1

Exemplar

Goldmann Visual Field - Left - 20/200 -2

Exemplar

Optical Coherence Tomography - Right - 20/200 -1

Exemplar / OCT Stack
OCT Stack

Optical Coherence Tomography - Left - 20/200 -2

Exemplar / OCT Stack
OCT Stack

Infrared Fundus Photograph - Right - 20/200 -1

Exemplar

Infrared Fundus Photograph - Left - 20/200 -2

Exemplar

Case Level Images

Teaching Images

Diagnosis & molecular findings

Disease Gene Allele 1 variant(s) Allele 2 variant(s) Inheritance mode
AR Stargardt Disease ABCA4 Ala1038Val GCC>GTC / Leu541Pro CTA>CCA Gly863Ala (G)GA>(G)CA AR
Gene:
Allele 1:
Ala1038Val GCC>GTC / Leu541Pro CTA>CCA
Allele 2:
Gly863Ala (G)GA>(G)CA
Inheritance:
AR
Cite this case