Loading...

SR1187

Type 2 Usher Syndrome (IB1b)

Male

Male

SR1187

Type 2 Usher Syndrome (IB1b)

Male

Male

Visit at age: 76 years

Fundus Photography - Right - 1/200 sc

Exemplar

Fundus Photography - Left - 1/200 sc

Exemplar

Fundus Montage - Right - 1/200 sc

Exemplar

Fundus Montage - Left - 1/200 sc

Exemplar

Goldmann Visual Field - Right - 1/200 sc

Exemplar

Goldmann Visual Field - Left - 1/200 sc

Exemplar

Optical Coherence Tomography - Right - 1/200 sc

Exemplar / OCT Stack
OCT Stack
OCT Stack
OCT Stack
OCT Stack

Optical Coherence Tomography - Left - 1/200 sc

Exemplar / OCT Stack
OCT Stack
OCT Stack
OCT Stack
OCT Stack

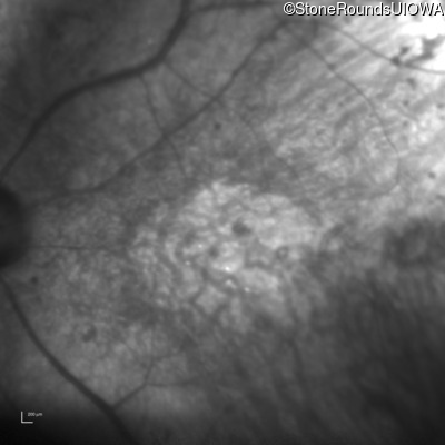
Infrared Fundus Photograph - Right - 1/200 sc

Exemplar

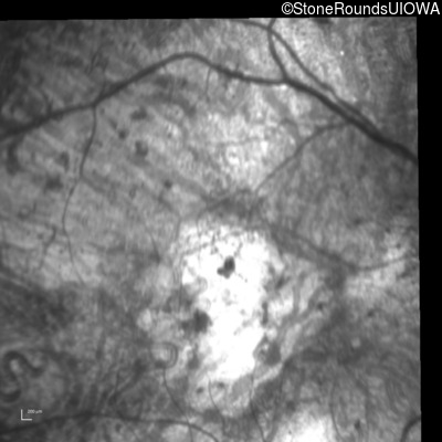
Infrared Fundus Photograph - Left - 1/200 sc

Exemplar

Visit at age: 77 years

Goldmann Visual Field - Right - 1/400 sc

Exemplar

Goldmann Visual Field - Left - 1/400 sc

Exemplar

Optical Coherence Tomography - Right - 1/400 sc

Exemplar / OCT Stack
OCT Stack

Optical Coherence Tomography - Left - 1/400 sc

Exemplar / OCT Stack
OCT Stack

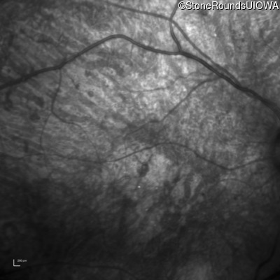
Infrared Fundus Photograph - Right - 1/400 sc

Exemplar

Infrared Fundus Photograph - Left - 1/400 sc

Exemplar

Visit at age: 78 years

Goldmann Visual Field - Right - 2/200 sc

Exemplar

Goldmann Visual Field - Left - 1/200 sc

Exemplar

Optical Coherence Tomography - Right - 2/200 sc

Exemplar / OCT Stack
OCT Stack

Optical Coherence Tomography - Left - 1/200 sc

Exemplar / OCT Stack
OCT Stack
OCT Stack
OCT Stack
OCT Stack

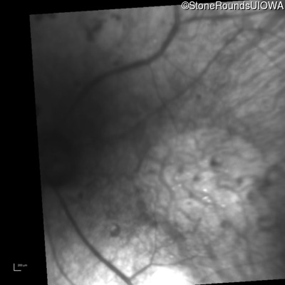
Infrared Fundus Photograph - Right - 2/200 sc

Exemplar

Infrared Fundus Photograph - Left - 1/200 sc

Exemplar

Visit at age: 81 years

Optical Coherence Tomography - Right - Hand Motion 1' sc

Exemplar / OCT Stack
OCT Stack
OCT Stack

Optical Coherence Tomography - Left - Hand Motion 6" sc

Exemplar / OCT Stack
OCT Stack
OCT Stack

Infrared Fundus Photograph - Right - Hand Motion 1' sc

Exemplar

Infrared Fundus Photograph - Left - Hand Motion 6" sc

Exemplar

Visit at age: 83 years

Optical Coherence Tomography - Right - Hand Motion sc

Exemplar / OCT Stack
OCT Stack

Optical Coherence Tomography - Left - Hand Motion sc

Exemplar / OCT Stack
OCT Stack

Infrared Fundus Photograph - Right - Hand Motion sc

Exemplar

Infrared Fundus Photograph - Left - Hand Motion sc

Exemplar

Case Level Images

Diagnosis & molecular findings

Disease Gene Allele 1 variant(s) Allele 2 variant(s) Inheritance mode
Type 2 Usher Syndrome ARSG Arg95Gln CGG>CAG Ala234 ins1gC AR
Gene:
Allele 1:
Arg95Gln CGG>CAG
Allele 2:
Ala234 ins1gC
Inheritance:
AR
Cite this case