Loading...

SR49

AR Retinitis Pigmentosa (IA1aiii)

Female

Female

SR49

AR Retinitis Pigmentosa (IA1aiii)

Female

Female

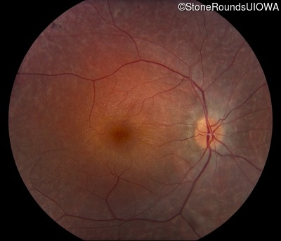
Visit at age: 24 years

Fundus Photography - Right - 20/25 +2

Exemplar

Fundus Photography - Left - 20/20 -2

Exemplar

Fundus Montage - Right - 20/25 +2

Exemplar

Fundus Montage - Left - 20/20 -2

Exemplar

Goldmann Visual Field - Right - 20/25 +2

Exemplar

Goldmann Visual Field - Left - 20/20 -2

Exemplar

Optical Coherence Tomography - Right - 20/25 +2

Exemplar / OCT Stack
OCT Stack

Optical Coherence Tomography - Left - 20/20 -2

Exemplar / OCT Stack
OCT Stack

Infrared Fundus Photograph - Right - 20/25 +2

Exemplar

Infrared Fundus Photograph - Left - 20/20 -2

Exemplar

Case Level Images

Diagnosis & molecular findings

Disease Gene Allele 1 variant(s) Allele 2 variant(s) Inheritance mode
AR Retinitis Pigmentosa USH2A Cys759Phe TGC>TTC Glu4304 del1gA AR
Gene:
Allele 1:
Cys759Phe TGC>TTC
Allele 2:
Glu4304 del1gA
Inheritance:
AR
Cite this case