Loading...

SR1777

Enhanced S-Cone Syndrome (IA2fiv)

Male

Male

SR1777

Enhanced S-Cone Syndrome (IA2fiv)

Male

Male

Visit at age: 45 years

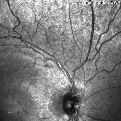
Fundus Photography - Right - 20/25 -1

Exemplar

Fundus Photography - Left - 20/20 -1

Exemplar

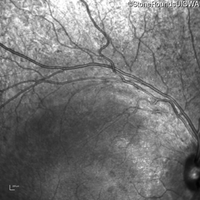
Fundus Montage - Right - 20/25 -1

Exemplar

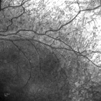
Fundus Montage - Left - 20/20 -1

Exemplar

Goldmann Visual Field - Right - 20/25 -1

Exemplar

Goldmann Visual Field - Left - 20/20 -1

Exemplar

Optical Coherence Tomography - Right - 20/25 -1

Exemplar / OCT Stack
OCT Stack
OCT Stack
OCT Stack
OCT Stack
OCT Stack
OCT Stack
OCT Stack
OCT Stack
OCT Stack
OCT Stack
OCT Stack

Optical Coherence Tomography - Left - 20/20 -1

Exemplar / OCT Stack
OCT Stack
OCT Stack
OCT Stack
OCT Stack
OCT Stack
OCT Stack
OCT Stack
OCT Stack
OCT Stack
OCT Stack
OCT Stack

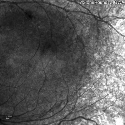
Infrared Fundus Photograph - Right - 20/25 -1

Exemplar

Infrared Fundus Photograph - Left - 20/20 -1

Exemplar

Blue Autofluorescence - Right - 20/25 -1

Exemplar

Blue Autofluorescence - Left - 20/20 -1

Exemplar

Visit at age: 48 years

Fundus Photography - Right - 20/25

Exemplar

Fundus Photography - Left - 20/25

Exemplar

Goldmann Visual Field - Right - 20/25

Exemplar

Goldmann Visual Field - Left - 20/25

Exemplar

Optical Coherence Tomography - Right - 20/25

Exemplar / OCT Stack
OCT Stack
OCT Stack

Optical Coherence Tomography - Left - 20/25

Exemplar / OCT Stack
OCT Stack
OCT Stack

Infrared Fundus Photograph - Right - 20/25

Exemplar

Infrared Fundus Photograph - Left - 20/25

Exemplar

Case Level Images

Diagnosis & molecular findings

Disease Gene Allele 1 variant(s) Allele 2 variant(s) Inheritance mode
Enhanced S-Cone Syndrome NR2E3 IVS1-2 A>C Arg311Gln CGG>CAG AR
Gene:
Allele 1:
IVS1-2 A>C
Allele 2:
Arg311Gln CGG>CAG
Inheritance:
AR
Cite this case