Case
SR2294
Student Mode
MIDD (IID1a)
Female
Female
Hidden
SR2294
Student Mode
MIDD (IID1a)
Female
Female
Visit at age: 59 years
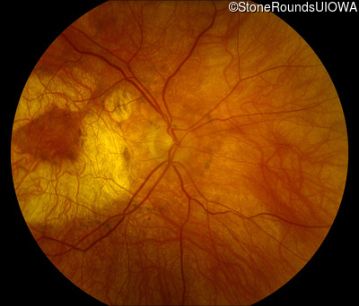
Fundus Photography - Right - 20/32
Exemplar
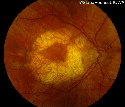
Fundus Photography - Left - 20/20 -1
Exemplar
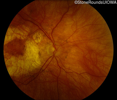
Fundus Montage - Right - 20/32
Exemplar
Fundus Montage - Left - 20/20 -1
Exemplar
Goldmann Visual Field - Right - 20/32
Exemplar
Goldmann Visual Field - Left - 20/20 -1
Exemplar
Optical Coherence Tomography - Right - 20/32
Exemplar / OCT Stack
OCT Stack
Optical Coherence Tomography - Left - 20/20 -1
Exemplar / OCT Stack
OCT Stack
Infrared Fundus Photograph - Right - 20/32
Exemplar
Infrared Fundus Photograph - Left - 20/20 -1
Exemplar
Blue Autofluorescence - Right - 20/32
Exemplar
Blue Autofluorescence - Left - 20/20 -1
Exemplar
Case Level Images
Diagnosis & molecular findings
| Disease |
Gene |
Allele 1 variant(s) |
Allele 2 variant(s) |
Inheritance mode |
| MIDD |
MT-TL1 |
3243 A>G |
|
MT |
False Genotype Rate:
Gene Count:
Submit Final Diagnosis
Clear Diagnosis