Loading...

SR869

Occult Macular Dystrophy (IIE)

Female

Female

SR869

Occult Macular Dystrophy (IIE)

Female

Female

Visit at age: 70 years

Fundus Photography - Right - 20/80

Exemplar

Fundus Photography - Left - 20/250

Exemplar

Goldmann Visual Field - Right - 20/80

Exemplar

Goldmann Visual Field - Left - 20/250

Exemplar

Visit at age: 72 years

Goldmann Visual Field - Right - 20/200

Exemplar

Goldmann Visual Field - Left - 20/400

Exemplar

Optical Coherence Tomography - Right - 20/200

Exemplar / OCT Stack
OCT Stack

Optical Coherence Tomography - Left - 20/400

Exemplar / OCT Stack
OCT Stack

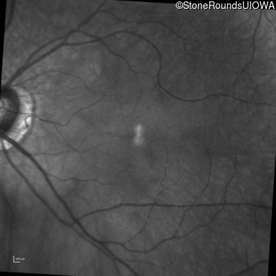
Infrared Fundus Photograph - Right - 20/200

Exemplar

Infrared Fundus Photograph - Left - 20/400

Exemplar

Visit at age: 75 years

Goldmann Visual Field - Right - 20/250

Exemplar

Goldmann Visual Field - Left - 20/250

Exemplar

Optical Coherence Tomography - Right - 20/250

Exemplar / OCT Stack
OCT Stack

Optical Coherence Tomography - Left - 20/250

Exemplar / OCT Stack
OCT Stack

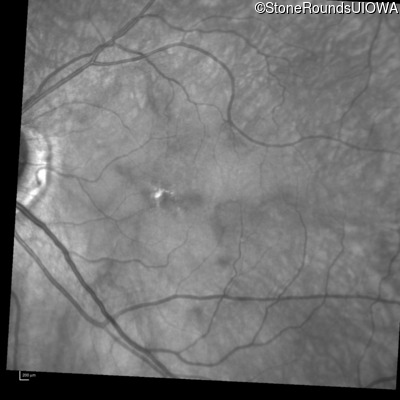
Infrared Fundus Photograph - Right - 20/250

Exemplar

Infrared Fundus Photograph - Left - 20/250

Exemplar

Visit at age: 77 years

Goldmann Visual Field - Right - 20/150

Exemplar

Goldmann Visual Field - Left - 20/400

Exemplar

Optical Coherence Tomography - Right - 20/150

Exemplar / OCT Stack
OCT Stack
OCT Stack

Optical Coherence Tomography - Left - 20/400

Exemplar / OCT Stack
OCT Stack
OCT Stack

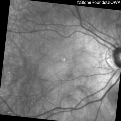
Infrared Fundus Photograph - Right - 20/150

Exemplar

Infrared Fundus Photograph - Left - 20/400

Exemplar

Blue Autofluorescence - Right - 20/150

Exemplar

Blue Autofluorescence - Left - 20/400

Exemplar

Visit at age: 79 years

Goldmann Visual Field - Right - 20/125 -1

Exemplar

Goldmann Visual Field - Left - 20/400

Exemplar

Optical Coherence Tomography - Right - 20/125 -1

Exemplar / OCT Stack
OCT Stack
OCT Stack

Optical Coherence Tomography - Left - 20/400

Exemplar / OCT Stack
OCT Stack
OCT Stack
OCT Stack

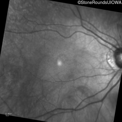
Infrared Fundus Photograph - Right - 20/125 -1

Exemplar

Infrared Fundus Photograph - Left - 20/400

Exemplar

Blue Autofluorescence - Right - 20/125 -1

Exemplar

Blue Autofluorescence - Left - 20/400

Exemplar

Visit at age: 82 years

Optical Coherence Tomography - Right - 20/300

Exemplar / OCT Stack
OCT Stack
OCT Stack

Optical Coherence Tomography - Left - 20/150

Exemplar / OCT Stack
OCT Stack
OCT Stack

Infrared Fundus Photograph - Right - 20/300

Exemplar

Infrared Fundus Photograph - Left - 20/150

Exemplar

Case Level Images

Diagnosis & molecular findings

Disease Gene Allele 1 variant(s) Allele 2 variant(s) Inheritance mode
Occult Macular Dystrophy RP1L1 Arg45Trp CGG>TGG   AD
Gene:
Allele 1:
Arg45Trp CGG>TGG
Allele 2:
 
Inheritance:
AD
Cite this case