Loading...

SR641

AR Retinitis Pigmentosa (IA1aiii)

Male

Male

SR641

AR Retinitis Pigmentosa (IA1aiii)

Male

Male

Visit at age: 37 years

Fundus Photography - Right - 20/20

Exemplar

Fundus Photography - Left - 20/15

Exemplar

Goldmann Visual Field - Right - 20/20

Exemplar

Goldmann Visual Field - Left - 20/15

Exemplar

Visit at age: 39 years

Goldmann Visual Field - Right - 20/25 -3

Exemplar

Goldmann Visual Field - Left - 20/15

Exemplar

Visit at age: 41 years

Goldmann Visual Field - Right - 20/20 -2

Exemplar

Goldmann Visual Field - Left - 20/20 -1

Exemplar

Visit at age: 44 years

Goldmann Visual Field - Right - 20/25 +1

Exemplar

Goldmann Visual Field - Left - 20/15

Exemplar

Visit at age: 46 years

Goldmann Visual Field - Right - 20/20 -2

Exemplar

Goldmann Visual Field - Left - 20/20

Exemplar

Visit at age: 48 years

Goldmann Visual Field - Right - 20/16 -1

Exemplar

Goldmann Visual Field - Left - 20/12.5 -2

Exemplar

Visit at age: 50 years

Goldmann Visual Field - Right - 20/16

Exemplar

Goldmann Visual Field - Left - 20/16

Exemplar

Visit at age: 55 years

Fundus Photography - Right - 20/25 -2 sc

Exemplar

Fundus Photography - Left - 20/25 sc

Exemplar

Fundus Montage - Right - 20/25 -2 sc

Exemplar

Fundus Montage - Left - 20/25 sc

Exemplar

Goldmann Visual Field - Right - 20/25 -2 sc

Exemplar

Goldmann Visual Field - Left - 20/25 sc

Exemplar

Optical Coherence Tomography - Right - 20/25 -2 sc

Exemplar / OCT Stack
OCT Stack

Optical Coherence Tomography - Left - 20/25 sc

Exemplar / OCT Stack
OCT Stack

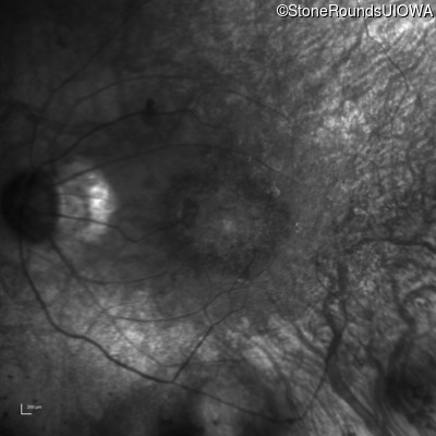
Infrared Fundus Photograph - Right - 20/25 -2 sc

Exemplar

Infrared Fundus Photograph - Left - 20/25 sc

Exemplar

Visit at age: 56 years

Optical Coherence Tomography - Right - 20/20

Exemplar / OCT Stack
OCT Stack

Optical Coherence Tomography - Left - 20/20 -2

Exemplar / OCT Stack
OCT Stack

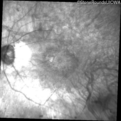
Infrared Fundus Photograph - Right - 20/20

Exemplar

Infrared Fundus Photograph - Left - 20/20 -2

Exemplar

Visit at age: 58 years

Goldmann Visual Field - Right - 20/25 -3

Exemplar

Goldmann Visual Field - Left - 20/20 -2

Exemplar

Optical Coherence Tomography - Right - 20/25 -3

Exemplar / OCT Stack
OCT Stack

Optical Coherence Tomography - Left - 20/20 -2

Exemplar / OCT Stack
OCT Stack

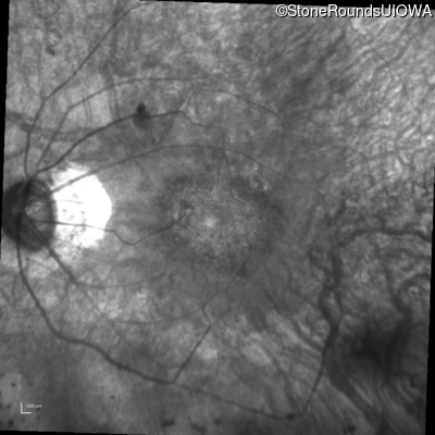
Infrared Fundus Photograph - Right - 20/25 -3

Exemplar

Infrared Fundus Photograph - Left - 20/20 -2

Exemplar

Visit at age: 59 years

Goldmann Visual Field - Right - 20/20 -1

Exemplar

Goldmann Visual Field - Left - 20/20 -1

Exemplar

Optical Coherence Tomography - Right - 20/20 -1

Exemplar / OCT Stack
OCT Stack

Optical Coherence Tomography - Left - 20/20 -1

Exemplar / OCT Stack
OCT Stack

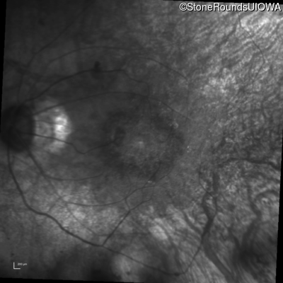
Infrared Fundus Photograph - Right - 20/20 -1

Exemplar

Infrared Fundus Photograph - Left - 20/20 -1

Exemplar

Visit at age: 60 years

Optical Coherence Tomography - Right - 20/16 -1

Exemplar / OCT Stack
OCT Stack
OCT Stack

Optical Coherence Tomography - Left - 20/20 -2

Exemplar / OCT Stack
OCT Stack
OCT Stack

Infrared Fundus Photograph - Right - 20/16 -1

Exemplar

Infrared Fundus Photograph - Left - 20/20 -2

Exemplar

Visit at age: 62 years

Goldmann Visual Field - Right - 20/16

Exemplar

Goldmann Visual Field - Left - 20/25

Exemplar

Optical Coherence Tomography - Right - 20/16

Exemplar / OCT Stack
OCT Stack
OCT Stack

Optical Coherence Tomography - Left - 20/25

Exemplar / OCT Stack
OCT Stack
OCT Stack

Infrared Fundus Photograph - Right - 20/16

Exemplar

Infrared Fundus Photograph - Left - 20/25

Exemplar

Visit at age: 62 years (Visit 2)

Optical Coherence Tomography - Right - 20/16

Exemplar / OCT Stack
OCT Stack
OCT Stack

Optical Coherence Tomography - Left - 20/25

Exemplar / OCT Stack
OCT Stack
OCT Stack

Infrared Fundus Photograph - Right - 20/16

Exemplar

Infrared Fundus Photograph - Left - 20/25

Exemplar

Visit at age: 63 years

Goldmann Visual Field - Right - 20/16

Exemplar

Goldmann Visual Field - Left - 20/20 -2

Exemplar

Visit at age: 63 years (Visit 2)

Optical Coherence Tomography - Right - 20/30 -2 sc

Exemplar / OCT Stack
OCT Stack
OCT Stack

Optical Coherence Tomography - Left - 20/40 -1 sc

Exemplar / OCT Stack
OCT Stack
OCT Stack

Infrared Fundus Photograph - Right - 20/30 -2 sc

Exemplar

Infrared Fundus Photograph - Left - 20/40 -1 sc

Exemplar

Visit at age: 64 years

Optical Coherence Tomography - Right - 20/16 -2

Exemplar / OCT Stack
OCT Stack
OCT Stack

Optical Coherence Tomography - Left - 20/25 -1

Exemplar / OCT Stack
OCT Stack
OCT Stack

Infrared Fundus Photograph - Right - 20/16 -2

Exemplar

Infrared Fundus Photograph - Left - 20/25 -1

Exemplar

Visit at age: 66 years

Fundus Photography - Right - 20/20

Exemplar

Fundus Photography - Left - 20/32 -2

Exemplar

Fundus Montage - Right - 20/20

Exemplar

Fundus Montage - Left - 20/32 -2

Exemplar

Goldmann Visual Field - Right - 20/20

Exemplar

Goldmann Visual Field - Left - 20/32 -2

Exemplar

Optical Coherence Tomography - Right - 20/20

Exemplar / OCT Stack
OCT Stack
OCT Stack

Optical Coherence Tomography - Left - 20/32 -2

Exemplar / OCT Stack
OCT Stack
OCT Stack

Infrared Fundus Photograph - Right - 20/20

Exemplar

Infrared Fundus Photograph - Left - 20/32 -2

Exemplar

Case Level Images

Diagnosis & molecular findings

Disease Gene Allele 1 variant(s) Allele 2 variant(s) Inheritance mode
AR Retinitis Pigmentosa MAK Lys429 insAlu_353bp Lys429 insAlu_353bp AR
Gene:
Allele 1:
Lys429 insAlu_353bp
Allele 2:
Lys429 insAlu_353bp
Inheritance:
AR
Cite this case