Case
SR2712
Student Mode
AR Retinitis Pigmentosa (IA1aiii)
Male
Male
Hidden
SR2712
Student Mode
AR Retinitis Pigmentosa (IA1aiii)
Male
Male
Visit at age: 62 years
Fundus Photography - Right - 20/30
Exemplar
Fundus Photography - Left - 20/30 -2
Exemplar
Goldmann Visual Field - Right - 20/30
Exemplar
Goldmann Visual Field - Left - 20/30 -2
Exemplar
Optical Coherence Tomography - Right - 20/30
Exemplar / OCT Stack
Optical Coherence Tomography - Left - 20/30 -2
Exemplar / OCT Stack
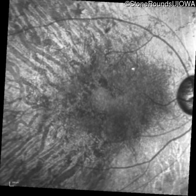
Infrared Fundus Photograph - Right - 20/30
Exemplar
Infrared Fundus Photograph - Left - 20/30 -2
Exemplar
Visit at age: 71 years
Fundus Photography - Right - 20/63 -1
Exemplar
Fundus Photography - Left - 20/50
Exemplar
Fundus Montage - Right - 20/63 -1
Exemplar
Fundus Montage - Left - 20/50
Exemplar
Goldmann Visual Field - Right - 20/63 -1
Exemplar
Goldmann Visual Field - Left - 20/50
Exemplar
Optical Coherence Tomography - Right - 20/63 -1
Exemplar / OCT Stack
OCT Stack
OCT Stack
Optical Coherence Tomography - Left - 20/50
Exemplar / OCT Stack
OCT Stack
OCT Stack
Infrared Fundus Photograph - Right - 20/63 -1
Exemplar
Infrared Fundus Photograph - Left - 20/50
Exemplar
Visit at age: 73 years
Goldmann Visual Field - Right - 20/50 -1
Exemplar
Goldmann Visual Field - Left - 20/50
Exemplar
Optical Coherence Tomography - Right - 20/50 -1
Exemplar / OCT Stack
OCT Stack
OCT Stack
Optical Coherence Tomography - Left - 20/50
Exemplar / OCT Stack
OCT Stack
OCT Stack
Infrared Fundus Photograph - Right - 20/50 -1
Exemplar
Infrared Fundus Photograph - Left - 20/50
Exemplar
Visit at age: 75 years
Goldmann Visual Field - Right - 20/80 -1
Exemplar
Goldmann Visual Field - Left - 20/63 -1
Exemplar
Optical Coherence Tomography - Right - 20/80 -1
Exemplar / OCT Stack
OCT Stack
OCT Stack
Optical Coherence Tomography - Left - 20/63 -1
Exemplar / OCT Stack
OCT Stack
OCT Stack
Infrared Fundus Photograph - Right - 20/80 -1
Exemplar
Infrared Fundus Photograph - Left - 20/63 -1
Exemplar
Case Level Images
Diagnosis & molecular findings
| Disease |
Gene |
Allele 1 variant(s) |
Allele 2 variant(s) |
Inheritance mode |
| AR Retinitis Pigmentosa |
EYS |
Cys2139Tyr TGT>TAT |
Cys2139Tyr TGT>TAT |
AR |
Allele 1:
Cys2139Tyr TGT>TAT
Allele 2:
Cys2139Tyr TGT>TAT
False Genotype Rate:
Gene Count:
Submit Final Diagnosis
Clear Diagnosis