Loading...

SR649

XL Choroideremia (IIIA1a)

Male

Male

SR649

XL Choroideremia (IIIA1a)

Male

Male

Visit at age: 10 years

Fundus Photography - Right - 20/15 -2

Exemplar

Fundus Photography - Left - 20/15 -2

Exemplar

Goldmann Visual Field - Right - 20/15 -2

Exemplar

Goldmann Visual Field - Left - 20/15 -2

Exemplar

Visit at age: 16 years

Goldmann Visual Field - Right - 20/25 sc

Exemplar

Goldmann Visual Field - Left - 20/20 -2 sc

Exemplar

Visit at age: 19 years

Fundus Photography - Right - 20/20 -2

Exemplar

Fundus Photography - Left - 20/20 -1

Exemplar

Goldmann Visual Field - Right - 20/20 -2

Exemplar

Goldmann Visual Field - Left - 20/20 -1

Exemplar

Visit at age: 27 years

Fundus Photography - Right - 20/25 +2

Exemplar

Fundus Photography - Left - 20/20 -2

Exemplar

Fundus Montage - Right - 20/25 +2

Exemplar

Fundus Montage - Left - 20/20 -2

Exemplar

Goldmann Visual Field - Right - 20/25 +2

Exemplar

Goldmann Visual Field - Left - 20/20 -2

Exemplar

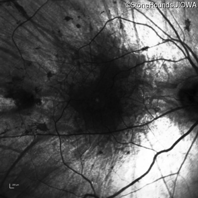
Visit at age: 36 years

Fundus Photography - Right - 20/25 -1

Exemplar

Fundus Photography - Left - 20/30

Exemplar

Fundus Montage - Right - 20/25 -1

Exemplar

Fundus Montage - Left - 20/30

Exemplar

Goldmann Visual Field - Right - 20/25 -1

Exemplar

Goldmann Visual Field - Left - 20/30

Exemplar

Optical Coherence Tomography - Right - 20/25 -1

Exemplar / OCT Stack
OCT Stack

Optical Coherence Tomography - Left - 20/30

Exemplar / OCT Stack
OCT Stack

Infrared Fundus Photograph - Right - 20/25 -1

Exemplar

Infrared Fundus Photograph - Left - 20/30

Exemplar

Case Level Images

Diagnosis & molecular findings

Disease Gene Allele 1 variant(s) Allele 2 variant(s) Inheritance mode
XL Choroideremia CHM Ser7 del12tcGGAGTTTGATGT   XL
Disease:
Gene:
Allele 1:
Ser7 del12tcGGAGTTTGATGT
Allele 2:
 
Inheritance:
XL
Cite this case