Loading...

SR1899

Pseudoxanthoma Elasticum (IID2)

Male

Male

SR1899

Pseudoxanthoma Elasticum (IID2)

Male

Male

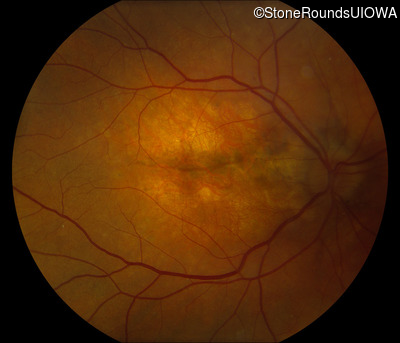
Visit at age: 49 years

Fundus Photography - Right - 20/15 -2

Exemplar

Fundus Photography - Left - 20/15 -2

Exemplar

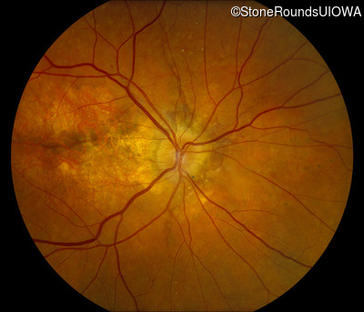
Visit at age: 51 years

Fundus Photography - Right - 20/15 -2

Exemplar

Fundus Photography - Left - 20/15 -2

Exemplar

Fluorescein Angiography - Right - 20/15 -2

Exemplar

Fluorescein Angiography - Left - 20/15 -2

Exemplar

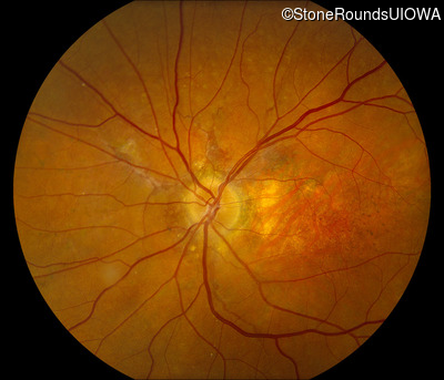
Visit at age: 61 years

Fundus Photography - Right - 20/20 -1

Exemplar

Fundus Photography - Left - 20/20 -2

Exemplar

Fundus Montage - Right - 20/20 -1

Exemplar

Fundus Montage - Left - 20/20 -2

Exemplar

Optical Coherence Tomography - Right - 20/20 -1

Exemplar / OCT Stack
OCT Stack

Optical Coherence Tomography - Left - 20/20 -2

Exemplar / OCT Stack
OCT Stack

Infrared Fundus Photograph - Right - 20/20 -1

Exemplar

Infrared Fundus Photograph - Left - 20/20 -2

Exemplar

Fluorescein Angiography - Right - 20/20 -1

Exemplar

Fluorescein Angiography - Left - 20/20 -2

Exemplar

Visit at age: 61 years (Visit 2)

Optical Coherence Tomography - Right - 20/25 +1

Exemplar / OCT Stack
OCT Stack

Optical Coherence Tomography - Left - 20/25 +3

Exemplar / OCT Stack
OCT Stack

Infrared Fundus Photograph - Right - 20/25 +1

Exemplar

Infrared Fundus Photograph - Left - 20/25 +3

Exemplar

Visit at age: 62 years

Optical Coherence Tomography - Right - 20/20 -2

Exemplar / OCT Stack
OCT Stack

Optical Coherence Tomography - Left - 20/20 -3

Exemplar / OCT Stack
OCT Stack

Infrared Fundus Photograph - Right - 20/20 -2

Exemplar

Infrared Fundus Photograph - Left - 20/20 -3

Exemplar

Visit at age: 62 years (Visit 2)

Fundus Photography - Right - 20/50 +1

Exemplar

Fundus Photography - Left - 20/25 -2

Exemplar

Optical Coherence Tomography - Right - 20/50 +1

Exemplar / OCT Stack
OCT Stack

Optical Coherence Tomography - Left - 20/25 -2

Exemplar / OCT Stack
OCT Stack

Infrared Fundus Photograph - Right - 20/50 +1

Exemplar

Infrared Fundus Photograph - Left - 20/25 -2

Exemplar

Visit at age: 62 years (Visit 3)

Optical Coherence Tomography - Right - 20/80

Exemplar / OCT Stack
OCT Stack

Optical Coherence Tomography - Left - 20/20 -1

Exemplar / OCT Stack
OCT Stack

Infrared Fundus Photograph - Right - 20/80

Exemplar

Infrared Fundus Photograph - Left - 20/20 -1

Exemplar

Visit at age: 63 years

Optical Coherence Tomography - Right - 20/50 -1

Exemplar / OCT Stack
OCT Stack

Infrared Fundus Photograph - Right - 20/50 -1

Exemplar

Visit at age: 63 years (Visit 2)

Optical Coherence Tomography - Right - 20/50 +2

Exemplar / OCT Stack
OCT Stack

Infrared Fundus Photograph - Right - 20/50 +2

Exemplar

Visit at age: 63 years (Visit 3)

Fundus Photography - Right - 20/40 -2

Exemplar

Fundus Photography - Left - 20/20 -2

Exemplar

Optical Coherence Tomography - Right - 20/40 -2

Exemplar / OCT Stack
OCT Stack

Optical Coherence Tomography - Left - 20/20 -2

Exemplar / OCT Stack
OCT Stack

Infrared Fundus Photograph - Right - 20/40 -2

Exemplar

Infrared Fundus Photograph - Left - 20/20 -2

Exemplar

Visit at age: 63 years (Visit 4)

Optical Coherence Tomography - Right - 20/30 -2

Exemplar / OCT Stack
OCT Stack

Optical Coherence Tomography - Left - 20/25 -1

Exemplar / OCT Stack
OCT Stack

Infrared Fundus Photograph - Right - 20/30 -2

Exemplar

Infrared Fundus Photograph - Left - 20/25 -1

Exemplar

Visit at age: 63 years (Visit 5)

Fundus Photography - Right - 20/125

Exemplar

Fundus Photography - Left - 20/25

Exemplar

Optical Coherence Tomography - Right - 20/125

Exemplar / OCT Stack
OCT Stack
OCT Stack

Optical Coherence Tomography - Left - 20/25

Exemplar / OCT Stack
OCT Stack
OCT Stack

Infrared Fundus Photograph - Right - 20/125

Exemplar

Infrared Fundus Photograph - Left - 20/25

Exemplar

Visit at age: 64 years

Optical Coherence Tomography - Right - 20/60 -2

Exemplar / OCT Stack
OCT Stack
OCT Stack

Infrared Fundus Photograph - Right - 20/60 -2

Exemplar

Visit at age: 64 years (Visit 2)

Optical Coherence Tomography - Right - 20/100

Exemplar / OCT Stack
OCT Stack

Optical Coherence Tomography - Left - 20/25 +1

Exemplar / OCT Stack
OCT Stack

Infrared Fundus Photograph - Right - 20/100

Exemplar

Infrared Fundus Photograph - Left - 20/25 +1

Exemplar

Visit at age: 64 years (Visit 3)

Optical Coherence Tomography - Right - 20/60 -2

Exemplar / OCT Stack
OCT Stack

Optical Coherence Tomography - Left - 20/20 -3

Exemplar / OCT Stack
OCT Stack

Infrared Fundus Photograph - Right - 20/60 -2

Exemplar

Infrared Fundus Photograph - Left - 20/20 -3

Exemplar

Visit at age: 64 years (Visit 4)

Optical Coherence Tomography - Right - 20/100

Exemplar / OCT Stack
OCT Stack

Optical Coherence Tomography - Left - 20/20 -1

Exemplar / OCT Stack
OCT Stack

Infrared Fundus Photograph - Right - 20/100

Exemplar

Infrared Fundus Photograph - Left - 20/20 -1

Exemplar

Visit at age: 64 years (Visit 5)

Optical Coherence Tomography - Right - 20/100 +1

Exemplar / OCT Stack
OCT Stack

Optical Coherence Tomography - Left - 20/25

Exemplar / OCT Stack
OCT Stack

Infrared Fundus Photograph - Right - 20/100 +1

Exemplar

Infrared Fundus Photograph - Left - 20/25

Exemplar

Visit at age: 64 years (Visit 6)

Optical Coherence Tomography - Right - 20/40

Exemplar / OCT Stack
OCT Stack

Optical Coherence Tomography - Left - 20/20 -2

Exemplar / OCT Stack
OCT Stack

Infrared Fundus Photograph - Right - 20/40

Exemplar

Infrared Fundus Photograph - Left - 20/20 -2

Exemplar

Visit at age: 65 years

Optical Coherence Tomography - Right - 20/80

Exemplar / OCT Stack
OCT Stack

Optical Coherence Tomography - Left - 20/30

Exemplar / OCT Stack
OCT Stack

Infrared Fundus Photograph - Right - 20/80

Exemplar

Infrared Fundus Photograph - Left - 20/30

Exemplar

Visit at age: 65 years (Visit 2)

Optical Coherence Tomography - Right - 20/150

Exemplar / OCT Stack
OCT Stack

Optical Coherence Tomography - Left - 20/40 -2

Exemplar / OCT Stack
OCT Stack

Infrared Fundus Photograph - Right - 20/150

Exemplar

Infrared Fundus Photograph - Left - 20/40 -2

Exemplar

Visit at age: 65 years (Visit 3)

Optical Coherence Tomography - Right - 20/150

Exemplar / OCT Stack
OCT Stack

Optical Coherence Tomography - Left - 20/30

Exemplar / OCT Stack
OCT Stack

Infrared Fundus Photograph - Right - 20/150

Exemplar

Infrared Fundus Photograph - Left - 20/30

Exemplar

Visit at age: 65 years (Visit 4)

Optical Coherence Tomography - Right - 20/200 -2

Exemplar / OCT Stack
OCT Stack

Optical Coherence Tomography - Left - 20/63

Exemplar / OCT Stack
OCT Stack

Infrared Fundus Photograph - Right - 20/200 -2

Exemplar

Infrared Fundus Photograph - Left - 20/63

Exemplar

Visit at age: 66 years

Fundus Photography - Right - 20/125

Exemplar

Fundus Photography - Left - 20/125

Exemplar

Optical Coherence Tomography - Right - 20/125

Exemplar / OCT Stack
OCT Stack

Optical Coherence Tomography - Left - 20/125

Exemplar / OCT Stack
OCT Stack

Infrared Fundus Photograph - Right - 20/125

Exemplar

Infrared Fundus Photograph - Left - 20/125

Exemplar

Visit at age: 67 years

Optical Coherence Tomography - Right - 20/200 -3

Exemplar / OCT Stack
OCT Stack

Optical Coherence Tomography - Left - 20/200 -3

Exemplar / OCT Stack
OCT Stack

Infrared Fundus Photograph - Right - 20/200 -3

Exemplar

Infrared Fundus Photograph - Left - 20/200 -3

Exemplar

Visit at age: 68 years

Optical Coherence Tomography - Right - 20/150

Exemplar / OCT Stack

Optical Coherence Tomography - Left - 20/150

Exemplar / OCT Stack

Infrared Fundus Photograph - Right - 20/150

Exemplar

Infrared Fundus Photograph - Left - 20/150

Exemplar

Case Level Images

Diagnosis & molecular findings

Disease Gene Allele 1 variant(s) Allele 2 variant(s) Inheritance mode
Pseudoxanthoma Elasticum ABCC6 Arg1141Stop CGA>TGA Arg1398Stop CGA>TGA AR
Gene:
Allele 1:
Arg1141Stop CGA>TGA
Allele 2:
Arg1398Stop CGA>TGA
Inheritance:
AR
Cite this case