Loading...

SR1077

XL Choroideremia (IIIA1a)

Male

Male

SR1077

XL Choroideremia (IIIA1a)

Male

Male

Visit at age: 8 years

Fundus Photography - Right - 20/32

Exemplar

Fundus Photography - Left - 20/32 -2

Exemplar

Fundus Montage - Right - 20/32

Exemplar

Fundus Montage - Left - 20/32 -2

Exemplar

Goldmann Visual Field - Right - 20/32

Exemplar

Goldmann Visual Field - Left - 20/32 -2

Exemplar

Optical Coherence Tomography - Right - 20/32

Exemplar / OCT Stack
OCT Stack

Optical Coherence Tomography - Left - 20/32 -2

Exemplar / OCT Stack
OCT Stack

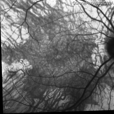
Infrared Fundus Photograph - Right - 20/32

Exemplar

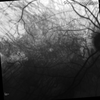
Infrared Fundus Photograph - Left - 20/32 -2

Exemplar

Visit at age: 11 years

Goldmann Visual Field - Right - 20/20 -3

Exemplar

Goldmann Visual Field - Left - 20/30 +1

Exemplar

Optical Coherence Tomography - Right - 20/20 -3

Exemplar / OCT Stack
OCT Stack
OCT Stack

Optical Coherence Tomography - Left - 20/30 +1

Exemplar / OCT Stack
OCT Stack

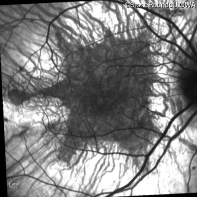
Infrared Fundus Photograph - Right - 20/20 -3

Exemplar

Infrared Fundus Photograph - Left - 20/30 +1

Exemplar

Visit at age: 13 years

Goldmann Visual Field - Right - 20/25 -1

Exemplar

Goldmann Visual Field - Left - 20/25 -1

Exemplar

Optical Coherence Tomography - Right - 20/25 -1

Exemplar / OCT Stack
OCT Stack
OCT Stack

Optical Coherence Tomography - Left - 20/25 -1

Exemplar / OCT Stack
OCT Stack
OCT Stack

Infrared Fundus Photograph - Right - 20/25 -1

Exemplar

Infrared Fundus Photograph - Left - 20/25 -1

Exemplar

Visit at age: 15 years

Goldmann Visual Field - Right - 20/25 -1

Exemplar

Goldmann Visual Field - Left - 20/32

Exemplar

Optical Coherence Tomography - Right - 20/25 -1

Exemplar / OCT Stack
OCT Stack
OCT Stack

Optical Coherence Tomography - Left - 20/32

Exemplar / OCT Stack
OCT Stack
OCT Stack

Infrared Fundus Photograph - Right - 20/25 -1

Exemplar

Infrared Fundus Photograph - Left - 20/32

Exemplar

Visit at age: 19 years

Goldmann Visual Field - Right - 20/20 -1

Exemplar

Goldmann Visual Field - Left - 20/20 -1

Exemplar

Optical Coherence Tomography - Right - 20/20 -1

Exemplar / OCT Stack
OCT Stack
OCT Stack

Optical Coherence Tomography - Left - 20/20 -1

Exemplar / OCT Stack
OCT Stack
OCT Stack

Infrared Fundus Photograph - Right - 20/20 -1

Exemplar

Infrared Fundus Photograph - Left - 20/20 -1

Exemplar

Case Level Images

Diagnosis & molecular findings

Disease Gene Allele 1 variant(s) Allele 2 variant(s) Inheritance mode
XL Choroideremia CHM Duplication Exons 6-8   XL
Disease:
Gene:
Allele 1:
Duplication Exons 6-8
Allele 2:
 
Inheritance:
XL
Cite this case