Loading...

SR2720

Enhanced S-Cone Syndrome (IA2fiv)

Female

Female

SR2720

Enhanced S-Cone Syndrome (IA2fiv)

Female

Female

Visit at age: 12 years

Fundus Photography - Right - 20/32 -1

Exemplar

Fundus Photography - Left - 20/50 -2

Exemplar

Fundus Montage - Right - 20/32 -1

Exemplar

Fundus Montage - Left - 20/50 -2

Exemplar

Goldmann Visual Field - Right - 20/32 -1

Exemplar

Goldmann Visual Field - Left - 20/50 -2

Exemplar

Optical Coherence Tomography - Right - 20/32 -1

Exemplar / OCT Stack
OCT Stack
OCT Stack

Optical Coherence Tomography - Left - 20/50 -2

Exemplar / OCT Stack
OCT Stack
OCT Stack

Infrared Fundus Photograph - Right - 20/32 -1

Exemplar

Infrared Fundus Photograph - Left - 20/50 -2

Exemplar

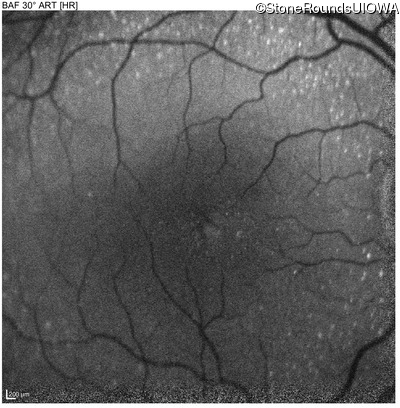
Blue Autofluorescence - Right - 20/32 -1

Exemplar

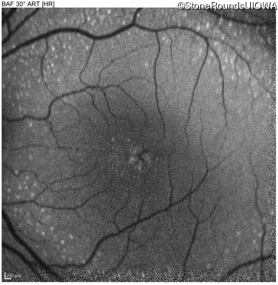
Blue Autofluorescence - Left - 20/50 -2

Exemplar

Case Level Images

Diagnosis & molecular findings

Disease Gene Allele 1 variant(s) Allele 2 variant(s) Inheritance mode
Enhanced S-Cone Syndrome NR2E3 IVS1-2 A>C Thr161 del1cccA AR
Gene:
Allele 1:
IVS1-2 A>C
Allele 2:
Thr161 del1cccA
Inheritance:
AR
Cite this case