Loading...

SR2393

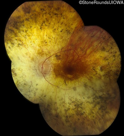
AD Retinitis Pigmentosa (IA1aii)

Male

Male

SR2393

AD Retinitis Pigmentosa (IA1aii)

Male

Male

Visit at age: 71 years

Fundus Photography - Right - 20/40 -1 sc

Exemplar

Fundus Photography - Left - 20/25 -2 sc

Exemplar

Fundus Montage - Right - 20/40 -1 sc

Exemplar

Fundus Montage - Left - 20/25 -2 sc

Exemplar

Optical Coherence Tomography - Right - 20/40 -1 sc

Exemplar / OCT Stack
OCT Stack
OCT Stack

Optical Coherence Tomography - Left - 20/25 -2 sc

Exemplar / OCT Stack
OCT Stack

Infrared Fundus Photograph - Right - 20/40 -1 sc

Exemplar

Infrared Fundus Photograph - Left - 20/25 -2 sc

Exemplar

Case Level Images

Diagnosis & molecular findings

Disease Gene Allele 1 variant(s) Allele 2 variant(s) Inheritance mode
AD Retinitis Pigmentosa RHO Pro23His CCC>CAC   AD
Gene:
Allele 1:
Pro23His CCC>CAC
Allele 2:
 
Inheritance:
AD
Cite this case