Loading...

SR207

AD Retinitis Pigmentosa (IA1aii)

Male

Male

SR207

AD Retinitis Pigmentosa (IA1aii)

Male

Male

Visit at age: 58 years

Fundus Photography - Right - 20/15

Exemplar

Fundus Photography - Left - 20/15 -2

Exemplar

Fundus Montage - Right - 20/15

Exemplar

Fundus Montage - Left - 20/15 -2

Exemplar

Goldmann Visual Field - Right - 20/15

Exemplar

Goldmann Visual Field - Left - 20/15 -2

Exemplar

Visit at age: 61 years

Goldmann Visual Field - Right - 20/15

Exemplar

Goldmann Visual Field - Left - 20/15 -2

Exemplar

Visit at age: 63 years

Goldmann Visual Field - Right - 20/20

Exemplar

Goldmann Visual Field - Left - 20/20

Exemplar

Visit at age: 66 years

Goldmann Visual Field - Right - 20/20

Exemplar

Goldmann Visual Field - Left - 20/30 -2

Exemplar

Optical Coherence Tomography - Right - 20/20

Exemplar / OCT Stack
OCT Stack

Optical Coherence Tomography - Left - 20/30 -2

Exemplar / OCT Stack
OCT Stack

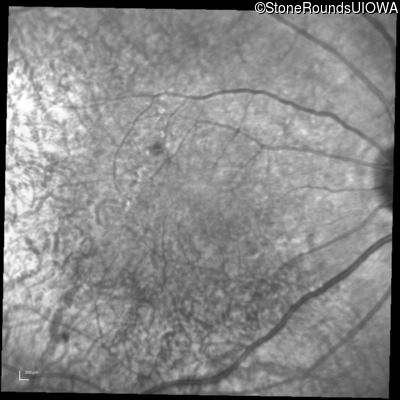
Infrared Fundus Photograph - Right - 20/20

Exemplar

Infrared Fundus Photograph - Left - 20/30 -2

Exemplar

Visit at age: 68 years

Goldmann Visual Field - Right - 20/20 -1

Exemplar

Goldmann Visual Field - Left - 20/20 -1

Exemplar

Optical Coherence Tomography - Right - 20/20 -1

Exemplar / OCT Stack
OCT Stack
OCT Stack

Optical Coherence Tomography - Left - 20/20 -1

Exemplar / OCT Stack
OCT Stack
OCT Stack

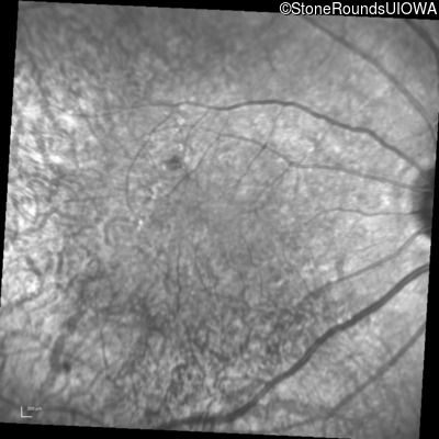
Infrared Fundus Photograph - Right - 20/20 -1

Exemplar

Infrared Fundus Photograph - Left - 20/20 -1

Exemplar

Visit at age: 72 years

Goldmann Visual Field - Right - 20/16

Exemplar

Goldmann Visual Field - Left - 20/20

Exemplar

Optical Coherence Tomography - Right - 20/16

Exemplar / OCT Stack
OCT Stack
OCT Stack

Optical Coherence Tomography - Left - 20/20

Exemplar / OCT Stack
OCT Stack
OCT Stack

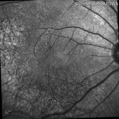
Infrared Fundus Photograph - Right - 20/16

Exemplar

Infrared Fundus Photograph - Left - 20/20

Exemplar

Case Level Images

Diagnosis & molecular findings

Disease Gene Allele 1 variant(s) Allele 2 variant(s) Inheritance mode
AD Retinitis Pigmentosa RHO Gly3Asp GGC>GAC   AD
Gene:
Allele 1:
Gly3Asp GGC>GAC
Allele 2:
 
Inheritance:
AD
Cite this case