Loading...

SR2325

Leber Congenital Amaurosis (IA2a)

Female

Female

SR2325

Leber Congenital Amaurosis (IA2a)

Female

Female

Visit at age: 5 years

Fundus Photography - Right - No Light Perception

Exemplar

Fundus Photography - Left - No Light Perception

Exemplar

Optical Coherence Tomography - Right - No Light Perception

Exemplar / OCT Stack
OCT Stack
OCT Stack
OCT Stack

Optical Coherence Tomography - Left - No Light Perception

Exemplar / OCT Stack
OCT Stack
OCT Stack
OCT Stack
OCT Stack

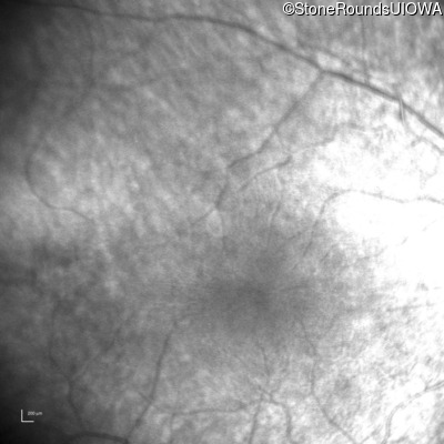
Infrared Fundus Photograph - Right - No Light Perception

Exemplar

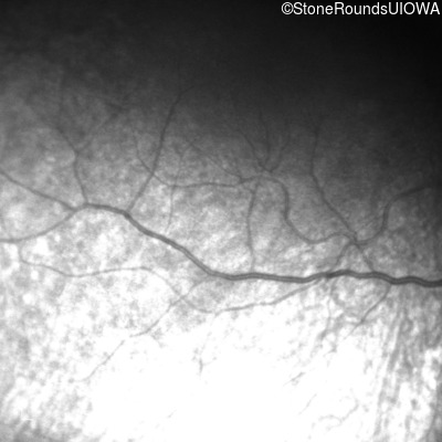
Infrared Fundus Photograph - Left - No Light Perception

Exemplar

Visit at age: 10 years

Fundus Photography - Right - No Light Perception

Exemplar

Fundus Photography - Left - No Light Perception

Exemplar

Optical Coherence Tomography - Right - No Light Perception

Exemplar / OCT Stack
OCT Stack
OCT Stack
OCT Stack
OCT Stack

Optical Coherence Tomography - Left - No Light Perception

Exemplar / OCT Stack
OCT Stack
OCT Stack

Infrared Fundus Photograph - Right - No Light Perception

Exemplar

Infrared Fundus Photograph - Left - No Light Perception

Exemplar

Visit at age: 13 years

Fundus Photography - Right - No Light Perception

Exemplar

Fundus Photography - Left - No Light Perception

Exemplar

Optical Coherence Tomography - Right - No Light Perception

Exemplar / OCT Stack
OCT Stack
OCT Stack
OCT Stack
OCT Stack

Optical Coherence Tomography - Left - No Light Perception

Exemplar / OCT Stack
OCT Stack
OCT Stack
OCT Stack
OCT Stack
OCT Stack

Infrared Fundus Photograph - Right - No Light Perception

Exemplar

Infrared Fundus Photograph - Left - No Light Perception

Exemplar

Case Level Images

Diagnosis & molecular findings

Disease Gene Allele 1 variant(s) Allele 2 variant(s) Inheritance mode
Leber Congenital Amaurosis CEP290 Lys127 del4aaAGAT IVS26+1655 A>G AR
Gene:
Allele 1:
Lys127 del4aaAGAT
Allele 2:
IVS26+1655 A>G
Inheritance:
AR
Cite this case