Loading...

SR217

XL Cone and Cone Rod Dystrophy (IA1bi)

Male

Male

SR217

XL Cone and Cone Rod Dystrophy (IA1bi)

Male

Male

Visit at age: 52 years

Fundus Photography - Right - 20/25 +2

Exemplar

Fundus Photography - Left - 20/30

Exemplar

Goldmann Visual Field - Right - 20/25 +2

Exemplar

Goldmann Visual Field - Left - 20/30

Exemplar

Visit at age: 53 years

Goldmann Visual Field - Right - 20/25

Exemplar

Goldmann Visual Field - Left - 20/50

Exemplar

Visit at age: 55 years

Goldmann Visual Field - Right - 20/32 +1

Exemplar

Goldmann Visual Field - Left - 20/32 -1

Exemplar

Optical Coherence Tomography - Right - 20/32 +1

Exemplar / OCT Stack
OCT Stack

Optical Coherence Tomography - Left - 20/32 -1

Exemplar / OCT Stack
OCT Stack

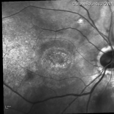
Infrared Fundus Photograph - Right - 20/32 +1

Exemplar

Infrared Fundus Photograph - Left - 20/32 -1

Exemplar

Visit at age: 58 years

Goldmann Visual Field - Right - 20/32 -1

Exemplar

Goldmann Visual Field - Left - 20/80 -1

Exemplar

Optical Coherence Tomography - Right - 20/32 -1

Exemplar / OCT Stack
OCT Stack

Optical Coherence Tomography - Left - 20/80 -1

Exemplar / OCT Stack
OCT Stack

Infrared Fundus Photograph - Right - 20/32 -1

Exemplar

Infrared Fundus Photograph - Left - 20/80 -1

Exemplar

Visit at age: 60 years

Goldmann Visual Field - Right - 20/200

Exemplar

Goldmann Visual Field - Left - 20/200

Exemplar

Optical Coherence Tomography - Right - 20/200

Exemplar / OCT Stack
OCT Stack

Optical Coherence Tomography - Left - 20/200

Exemplar / OCT Stack
OCT Stack

Infrared Fundus Photograph - Right - 20/200

Exemplar

Infrared Fundus Photograph - Left - 20/200

Exemplar

Visit at age: 61 years

Goldmann Visual Field - Right - 20/160

Exemplar

Goldmann Visual Field - Left - 20/200 +1

Exemplar

Optical Coherence Tomography - Right - 20/160

Exemplar / OCT Stack
OCT Stack
OCT Stack

Optical Coherence Tomography - Left - 20/200 +1

Exemplar / OCT Stack
OCT Stack
OCT Stack

Infrared Fundus Photograph - Right - 20/160

Exemplar

Infrared Fundus Photograph - Left - 20/200 +1

Exemplar

Visit at age: 64 years

Goldmann Visual Field - Right - 20/125 -2

Exemplar

Goldmann Visual Field - Left - 20/160 -2

Exemplar

Optical Coherence Tomography - Right - 20/125 -2

Exemplar / OCT Stack
OCT Stack
OCT Stack

Optical Coherence Tomography - Left - 20/160 -2

Exemplar / OCT Stack
OCT Stack
OCT Stack

Infrared Fundus Photograph - Right - 20/125 -2

Exemplar

Infrared Fundus Photograph - Left - 20/160 -2

Exemplar

Visit at age: 66 years

Goldmann Visual Field - Right - 20/125 -2

Exemplar

Goldmann Visual Field - Left - 20/160 +1

Exemplar

Optical Coherence Tomography - Right - 20/125 -2

Exemplar / OCT Stack
OCT Stack
OCT Stack

Optical Coherence Tomography - Left - 20/160 +1

Exemplar / OCT Stack
OCT Stack
OCT Stack

Infrared Fundus Photograph - Right - 20/125 -2

Exemplar

Infrared Fundus Photograph - Left - 20/160 +1

Exemplar

Case Level Images

Diagnosis & molecular findings

Disease Gene Allele 1 variant(s) Allele 2 variant(s) Inheritance mode
XL Cone and Cone Rod Dystrophy RPGR Gly1093 del2gGA   XL
Gene:
Allele 1:
Gly1093 del2gGA
Allele 2:
 
Inheritance:
XL
Cite this case