StoneRounds
Volunteer
Un-volunteer
Open Diagnosis Box
Leaderboard
StoneRounds
Disease Atlas
SR474
SR:
Volunteer
Un-volunteer
Open Diagnosis Box
Leaderboard
Search
Not logged in
Log in
Register
Terms of Use
Join Teaching Session
Log in
Register
Terms of Use
Join Teaching Session
Search
StoneRounds
Disease Atlas
SR474
Loading...
JavaScript is disabled.
Without JavaScript enabled, this site will not function properly.
Please follow
these instructions
in order to enable JavaScript in your browser.
Case
SR474
Change Format
Ladder View
Download View
Student Mode
AR Stargardt Disease (IIA)
Female
Female
Hidden
SR474
Change Format
Ladder View
Download View
Student Mode
AR Stargardt Disease (IIA)
Female
Female
Visit at age: 11 years
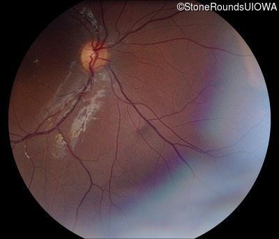
Fundus Photography - Right -
20/100 -2
Exemplar
Expanded OCT Stack
×
Fundus Photography - Left -
20/100
Exemplar
Expanded OCT Stack
×
Fundus Montage - Right -
20/100 -2
Exemplar
Expanded OCT Stack
×
Fundus Montage - Left -
20/100
Exemplar
Expanded OCT Stack
×
Goldmann Visual Field - Right -
20/100 -2
Exemplar
Expanded OCT Stack
×
Goldmann Visual Field - Left -
20/100
Exemplar
Expanded OCT Stack
×
Optical Coherence Tomography - Right -
20/100 -2
Exemplar / OCT Stack
OCT Stack
Expanded OCT Stack
×
Optical Coherence Tomography - Left -
20/100
Exemplar / OCT Stack
OCT Stack
Expanded OCT Stack
×
Infrared Fundus Photograph - Right -
20/100 -2
Exemplar
Expanded OCT Stack
×
Infrared Fundus Photograph - Left -
20/100
Exemplar
Expanded OCT Stack
×
Case Level Images
Diagnosis & molecular findings
Disease
Gene
Allele 1 variant(s)
Allele 2 variant(s)
Inheritance mode
AR Stargardt Disease
ABCA4
Gly1961Glu GGA>GAA, Arg212Cys CGC>TGC
Gly1961Glu GGA>GAA, Arg212Cys CGC>TGC
AR
Disease:
AR Stargardt Disease
Gene:
ABCA4
Allele 1:
Gly1961Glu GGA>GAA, Arg212Cys CGC>TGC
Allele 2:
Gly1961Glu GGA>GAA, Arg212Cys CGC>TGC
Inheritance:
AR
Cite this case
Search Diagnostic Tree
Diagnostic Tree
False Genotype Rate:
Gene Count:
Submit Final Diagnosis
Clear Diagnosis
You're volunteering to be called on to describe a case.
How would you like to be addressed?
Please give a short description of where you are from (institution/city).
Volunteer
×
Leaderboard
User
Score