Loading...

SR65

Pseudoxanthoma Elasticum (IID2)

Female

Female

SR65

Pseudoxanthoma Elasticum (IID2)

Female

Female

Visit at age: 41 years

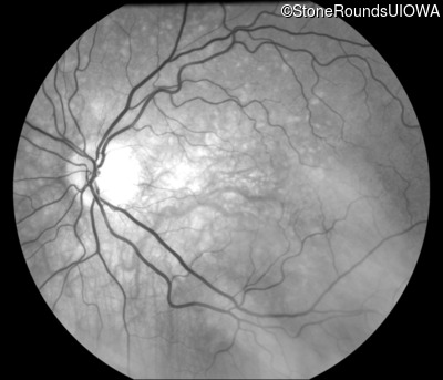
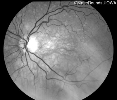
Fundus Photography - Right - 20/15 -2 sc

Exemplar

Fundus Photography - Left - 20/15 -1 sc

Exemplar

Visit at age: 53 years

Fundus Photography - Right - 20/20 -3 sc

Exemplar

Fundus Photography - Left - 20/30 -2 sc

Exemplar

Fundus Montage - Right - 20/20 -3 sc

Exemplar

Fundus Montage - Left - 20/30 -2 sc

Exemplar

Optical Coherence Tomography - Right - 20/20 -3 sc

Exemplar / OCT Stack
OCT Stack

Optical Coherence Tomography - Left - 20/30 -2 sc

Exemplar / OCT Stack
OCT Stack

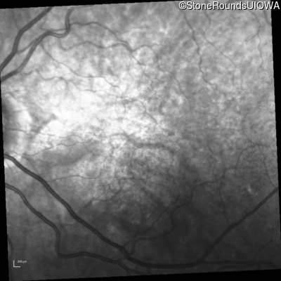
Infrared Fundus Photograph - Right - 20/20 -3 sc

Exemplar

Infrared Fundus Photograph - Left - 20/30 -2 sc

Exemplar

Fluorescein Angiography - Right - 20/20 -3 sc

Exemplar

Fluorescein Angiography - Left - 20/30 -2 sc

Exemplar

Visit at age: 54 years

Optical Coherence Tomography - Right - 20/25 +2 sc

Exemplar / OCT Stack
OCT Stack

Optical Coherence Tomography - Left - 20/30 -2 sc

Exemplar / OCT Stack
OCT Stack

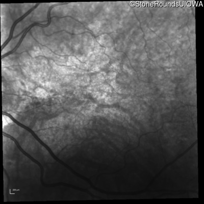
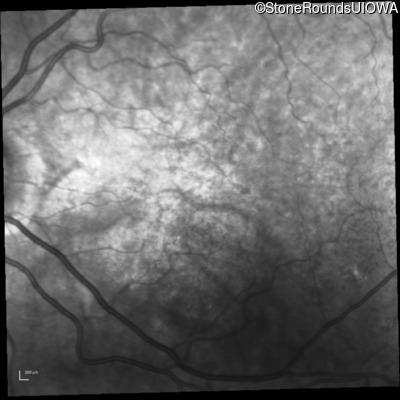
Infrared Fundus Photograph - Right - 20/25 +2 sc

Exemplar

Infrared Fundus Photograph - Left - 20/30 -2 sc

Exemplar

Visit at age: 54 years (Visit 2)

Optical Coherence Tomography - Right - 20/20

Exemplar / OCT Stack
OCT Stack

Optical Coherence Tomography - Left - 20/50 -1

Exemplar / OCT Stack
OCT Stack

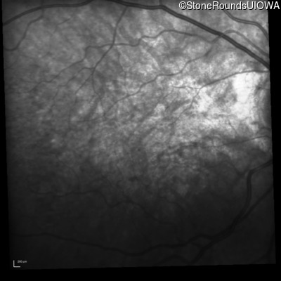
Infrared Fundus Photograph - Right - 20/20

Exemplar

Infrared Fundus Photograph - Left - 20/50 -1

Exemplar

Visit at age: 56 years

Optical Coherence Tomography - Right - 20/20

Exemplar / OCT Stack
OCT Stack

Optical Coherence Tomography - Left - 20/40 -1

Exemplar / OCT Stack
OCT Stack

Infrared Fundus Photograph - Right - 20/20

Exemplar

Infrared Fundus Photograph - Left - 20/40 -1

Exemplar

Visit at age: 57 years

Fundus Photography - Right - 20/25 -2

Exemplar

Fundus Photography - Left - 20/40

Exemplar

Optical Coherence Tomography - Right - 20/25 -2

Exemplar / OCT Stack
OCT Stack

Optical Coherence Tomography - Left - 20/40

Exemplar / OCT Stack
OCT Stack

Infrared Fundus Photograph - Right - 20/25 -2

Exemplar

Infrared Fundus Photograph - Left - 20/40

Exemplar

Visit at age: 58 years

Fundus Photography - Right - 20/25 -2

Exemplar

Fundus Photography - Left - 20/50 -2

Exemplar

Fundus Montage - Right - 20/25 -2

Exemplar

Fundus Montage - Left - 20/50 -2

Exemplar

Optical Coherence Tomography - Right - 20/25 -2

Exemplar / OCT Stack
OCT Stack
OCT Stack

Optical Coherence Tomography - Left - 20/50 -2

Exemplar / OCT Stack
OCT Stack
OCT Stack

Infrared Fundus Photograph - Right - 20/25 -2

Exemplar

Infrared Fundus Photograph - Left - 20/50 -2

Exemplar

Visit at age: 60 years

Fundus Photography - Right - 20/30 +1

Exemplar

Fundus Photography - Left - 20/60 -1

Exemplar

Fundus Montage - Right - 20/30 +1

Exemplar

Fundus Montage - Left - 20/60 -1

Exemplar

Optical Coherence Tomography - Right - 20/30 +1

Exemplar / OCT Stack
OCT Stack
OCT Stack

Optical Coherence Tomography - Left - 20/60 -1

Exemplar / OCT Stack
OCT Stack
OCT Stack

Infrared Fundus Photograph - Right - 20/30 +1

Exemplar

Infrared Fundus Photograph - Left - 20/60 -1

Exemplar

Visit at age: 63 years

Optical Coherence Tomography - Right - 20/40

Exemplar / OCT Stack
OCT Stack

Optical Coherence Tomography - Left - 20/160

Exemplar / OCT Stack
OCT Stack

Infrared Fundus Photograph - Right - 20/40

Exemplar

Infrared Fundus Photograph - Left - 20/160

Exemplar

Visit at age: 64 years

Fundus Photography - Right - 20/50 +1

Exemplar

Fundus Photography - Left - 20/200

Exemplar

Optical Coherence Tomography - Right - 20/50 +1

Exemplar / OCT Stack
OCT Stack
OCT Stack

Optical Coherence Tomography - Left - 20/200

Exemplar / OCT Stack
OCT Stack
OCT Stack

Infrared Fundus Photograph - Right - 20/50 +1

Exemplar

Infrared Fundus Photograph - Left - 20/200

Exemplar

Visit at age: 64 years (Visit 2)

Optical Coherence Tomography - Right - 20/50 +1

Exemplar / OCT Stack
OCT Stack
OCT Stack

Optical Coherence Tomography - Left - 20/150

Exemplar / OCT Stack
OCT Stack
OCT Stack

Infrared Fundus Photograph - Right - 20/50 +1

Exemplar

Infrared Fundus Photograph - Left - 20/150

Exemplar

Visit at age: 64 years (Visit 3)

Optical Coherence Tomography - Right - 20/60 +2

Exemplar / OCT Stack
OCT Stack
OCT Stack

Optical Coherence Tomography - Left - 20/150

Exemplar / OCT Stack
OCT Stack
OCT Stack

Infrared Fundus Photograph - Right - 20/60 +2

Exemplar

Infrared Fundus Photograph - Left - 20/150

Exemplar

Visit at age: 64 years (Visit 4)

Optical Coherence Tomography - Right - 20/70

Exemplar / OCT Stack
OCT Stack
OCT Stack

Optical Coherence Tomography - Left - 20/200

Exemplar / OCT Stack
OCT Stack
OCT Stack

Infrared Fundus Photograph - Right - 20/70

Exemplar

Infrared Fundus Photograph - Left - 20/200

Exemplar

Case Level Images

Diagnosis & molecular findings

Disease Gene Allele 1 variant(s) Allele 2 variant(s) Inheritance mode
Pseudoxanthoma Elasticum ABCC6 Gly928 del4tacGGCA IVS21+1 G>T AR
Gene:
Allele 1:
Gly928 del4tacGGCA
Allele 2:
IVS21+1 G>T
Inheritance:
AR
Cite this case