Loading...

SR56

Bardet Biedl Syndrome (IB2)

Male

Male

SR56

Bardet Biedl Syndrome (IB2)

Male

Male

Visit at age: 11 years

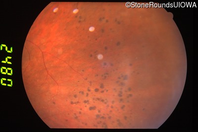
Fundus Photography - Right - 20/50 -3

Exemplar

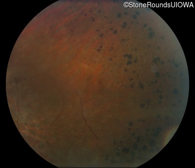
Fundus Photography - Left - 20/50 -2

Exemplar

Goldmann Visual Field - Right - 20/50 -3

Exemplar

Goldmann Visual Field - Left - 20/50 -2

Exemplar

Visit at age: 14 years

Fundus Photography - Right - 20/100

Exemplar

Fundus Photography - Left - 20/100

Exemplar

Goldmann Visual Field - Right - 20/100

Exemplar

Goldmann Visual Field - Left - 20/100

Exemplar

Visit at age: 15 years

Goldmann Visual Field - Right - 20/70

Exemplar

Goldmann Visual Field - Left - 20/70

Exemplar

Visit at age: 17 years

Fundus Photography - Right - 20/200 +1

Exemplar

Fundus Photography - Left - 20/200 +1

Exemplar

Goldmann Visual Field - Right - 20/200 +1

Exemplar

Goldmann Visual Field - Left - 20/200 +1

Exemplar

Visit at age: 22 years

Fundus Photography - Right - Count Fingers 1' sc

Exemplar

Fundus Photography - Left - Count Fingers 1' sc

Exemplar

Goldmann Visual Field - Right - Count Fingers 1' sc

Exemplar

Goldmann Visual Field - Left - Count Fingers 1' sc

Exemplar

Visit at age: 28 years

Fundus Photography - Right - 5/160 sc

Exemplar

Fundus Photography - Left - 5/200 sc

Exemplar

Goldmann Visual Field - Right - 5/160 sc

Exemplar

Goldmann Visual Field - Left - 5/200 sc

Exemplar

Visit at age: 31 years

Goldmann Visual Field - Right - Hand Motion sc

Exemplar

Goldmann Visual Field - Left - Count Fingers sc

Exemplar

Visit at age: 32 years

Goldmann Visual Field - Right - Count Fingers 3' sc

Exemplar

Goldmann Visual Field - Left - Hand Motion 1' sc

Exemplar

Visit at age: 33 years

Fundus Photography - Right - Hand Motion sc

Exemplar

Fundus Photography - Left - Hand Motion sc

Exemplar

Fundus Montage - Right - Hand Motion sc

Exemplar

Fundus Montage - Left - Hand Motion sc

Exemplar

Optical Coherence Tomography - Right - Hand Motion sc

Exemplar / OCT Stack
OCT Stack

Optical Coherence Tomography - Left - Hand Motion sc

Exemplar / OCT Stack

Infrared Fundus Photograph - Right - Hand Motion sc

Exemplar

Infrared Fundus Photograph - Left - Hand Motion sc

Exemplar

Visit at age: 34 years

Optical Coherence Tomography - Right - Hand Motion sc

Exemplar / OCT Stack
OCT Stack

Optical Coherence Tomography - Left - Hand Motion sc

Exemplar / OCT Stack
OCT Stack

Infrared Fundus Photograph - Right - Hand Motion sc

Exemplar

Infrared Fundus Photograph - Left - Hand Motion sc

Exemplar

Visit at age: 36 years

Goldmann Visual Field - Right - Hand Motion sc

Exemplar

Goldmann Visual Field - Left - Hand Motion sc

Exemplar

Optical Coherence Tomography - Right - Hand Motion sc

Exemplar / OCT Stack
OCT Stack

Optical Coherence Tomography - Left - Hand Motion sc

Exemplar / OCT Stack
OCT Stack
OCT Stack

Infrared Fundus Photograph - Right - Hand Motion sc

Exemplar

Infrared Fundus Photograph - Left - Hand Motion sc

Exemplar

Visit at age: 37 years

Optical Coherence Tomography - Right - Hand Motion sc

Exemplar / OCT Stack
OCT Stack

Optical Coherence Tomography - Left - Hand Motion sc

Exemplar / OCT Stack
OCT Stack

Infrared Fundus Photograph - Right - Hand Motion sc

Exemplar

Infrared Fundus Photograph - Left - Hand Motion sc

Exemplar

Visit at age: 38 years

Fundus Photography - Right - Hand Motion sc

Exemplar

Fundus Photography - Left - Hand Motion sc

Exemplar

Goldmann Visual Field - Right - Hand Motion sc

Exemplar

Goldmann Visual Field - Left - Hand Motion sc

Exemplar

Optical Coherence Tomography - Right - Hand Motion sc

Exemplar / OCT Stack
OCT Stack
OCT Stack
OCT Stack
OCT Stack
OCT Stack

Optical Coherence Tomography - Left - Hand Motion sc

Exemplar / OCT Stack
OCT Stack
OCT Stack
OCT Stack
OCT Stack
OCT Stack

Infrared Fundus Photograph - Right - Hand Motion sc

Exemplar

Infrared Fundus Photograph - Left - Hand Motion sc

Exemplar

Visit at age: 39 years

Optical Coherence Tomography - Right - Hand Motion @ face sc

Exemplar / OCT Stack
OCT Stack
OCT Stack

Optical Coherence Tomography - Left - Light Perception

Exemplar / OCT Stack
OCT Stack
OCT Stack

Infrared Fundus Photograph - Right - Hand Motion @ face sc

Exemplar

Infrared Fundus Photograph - Left - Light Perception

Exemplar

Visit at age: 41 years

Goldmann Visual Field - Right - Hand Motion sc

Exemplar

Goldmann Visual Field - Left - Hand Motion sc

Exemplar

Optical Coherence Tomography - Right - Hand Motion sc

Exemplar / OCT Stack
OCT Stack

Optical Coherence Tomography - Left - Hand Motion sc

Exemplar / OCT Stack
OCT Stack

Infrared Fundus Photograph - Right - Hand Motion sc

Exemplar

Infrared Fundus Photograph - Left - Hand Motion sc

Exemplar

Visit at age: 42 years

Optical Coherence Tomography - Right - Hand Motion 1' sc

Exemplar / OCT Stack
OCT Stack
OCT Stack

Optical Coherence Tomography - Left - Hand Motion 1' sc

Exemplar / OCT Stack

Infrared Fundus Photograph - Right - Hand Motion 1' sc

Exemplar

Infrared Fundus Photograph - Left - Hand Motion 1' sc

Exemplar

Visit at age: 43 years

Optical Coherence Tomography - Right - Hand Motion 1' sc

Exemplar / OCT Stack
OCT Stack
OCT Stack

Optical Coherence Tomography - Left - Hand Motion 1' sc

Exemplar / OCT Stack
OCT Stack
OCT Stack
OCT Stack
OCT Stack

Infrared Fundus Photograph - Right - Hand Motion 1' sc

Exemplar

Infrared Fundus Photograph - Left - Hand Motion 1' sc

Exemplar

Visit at age: 45 years

Optical Coherence Tomography - Right - Hand Motion

Exemplar / OCT Stack
OCT Stack

Optical Coherence Tomography - Left - Hand Motion

Exemplar / OCT Stack
OCT Stack

Infrared Fundus Photograph - Right - Hand Motion

Exemplar

Infrared Fundus Photograph - Left - Hand Motion

Exemplar

Case Level Images

Diagnosis & molecular findings

Disease Gene Allele 1 variant(s) Allele 2 variant(s) Inheritance mode
Bardet Biedl Syndrome BBS1 Met390Arg ATG>AGG Met390Arg ATG>AGG AR
Gene:
Allele 1:
Met390Arg ATG>AGG
Allele 2:
Met390Arg ATG>AGG
Inheritance:
AR
Cite this case