Loading...

SR284

Leber Hereditary Optic Neuropathy (IIIC1c)

Male

Male

SR284

Leber Hereditary Optic Neuropathy (IIIC1c)

Male

Male

Visit at age: 55 years

Fundus Photography - Right - 20/400 sc

Exemplar

Fundus Photography - Left - Count Fingers 4' sc

Exemplar

Optical Coherence Tomography - Right - 20/400 sc

Exemplar / OCT Stack
OCT Stack
OCT Stack
OCT Stack
OCT Stack

Optical Coherence Tomography - Left - Count Fingers 4' sc

Exemplar / OCT Stack
OCT Stack
OCT Stack

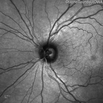
Infrared Fundus Photograph - Right - 20/400 sc

Exemplar

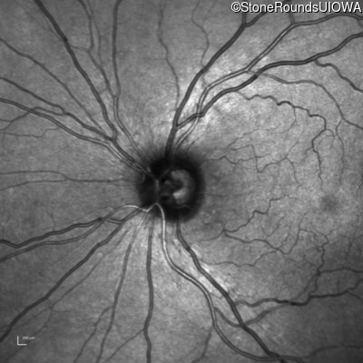
Infrared Fundus Photograph - Left - Count Fingers 4' sc

Exemplar

Case Level Images

Diagnosis & molecular findings

Disease Gene Allele 1 variant(s) Allele 2 variant(s) Inheritance mode
Leber Hereditary Optic Neuropathy MT-ND6 14484 T>C   MT
Gene:
Allele 1:
14484 T>C
Allele 2:
 
Inheritance:
MT
Cite this case