Loading...

SR2851

Autosomal Dominant Vitreoretinochoroidopathy (III4A)

Female

Female

SR2851

Autosomal Dominant Vitreoretinochoroidopathy (III4A)

Female

Female

Visit at age: 47 years

Fundus Photography - Right - 20/25

Exemplar

Fundus Photography - Left - 20/40 +1

Exemplar

Goldmann Visual Field - Right - 20/25

Exemplar

Goldmann Visual Field - Left - 20/40 +1

Exemplar

Optical Coherence Tomography - Right - 20/25

Exemplar / OCT Stack
OCT Stack

Optical Coherence Tomography - Left - 20/40 +1

Exemplar / OCT Stack
OCT Stack

Infrared Fundus Photograph - Right - 20/25

Exemplar

Infrared Fundus Photograph - Left - 20/40 +1

Exemplar

B-Scan Ultrasonography - Right - 20/25

Exemplar

B-Scan Ultrasonography - Left - 20/40 +1

Exemplar

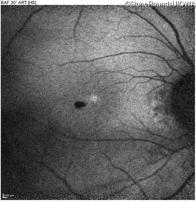
Blue Autofluorescence - Right - 20/25

Exemplar

Blue Autofluorescence - Left - 20/40 +1

Exemplar

Visit at age: 49 years

Goldmann Visual Field - Right - 20/25 sc

Exemplar

Goldmann Visual Field - Left - 20/40 sc

Exemplar

Optical Coherence Tomography - Right - 20/25 sc

Exemplar / OCT Stack
OCT Stack

Optical Coherence Tomography - Left - 20/40 sc

Exemplar / OCT Stack
OCT Stack

Infrared Fundus Photograph - Right - 20/25 sc

Exemplar

Infrared Fundus Photograph - Left - 20/40 sc

Exemplar

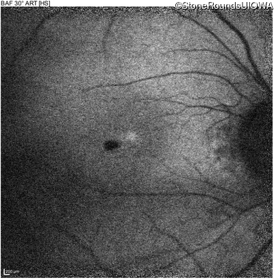
Blue Autofluorescence - Right - 20/25 sc

Exemplar

Blue Autofluorescence - Left - 20/40 sc

Exemplar

Visit at age: 50 years

Optical Coherence Tomography - Right - 20/25 -1 sc

Exemplar / OCT Stack
OCT Stack

Optical Coherence Tomography - Left - 20/40 -1 sc

Exemplar / OCT Stack
OCT Stack

Infrared Fundus Photograph - Right - 20/25 -1 sc

Exemplar

Infrared Fundus Photograph - Left - 20/40 -1 sc

Exemplar

Visit at age: 51 years

Goldmann Visual Field - Right - 20/32 -1 sc

Exemplar

Goldmann Visual Field - Left - 20/40 sc

Exemplar

Optical Coherence Tomography - Right - 20/32 -1 sc

Exemplar / OCT Stack
OCT Stack

Optical Coherence Tomography - Left - 20/40 sc

Exemplar / OCT Stack
OCT Stack

Infrared Fundus Photograph - Right - 20/32 -1 sc

Exemplar

Infrared Fundus Photograph - Left - 20/40 sc

Exemplar

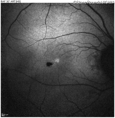
Blue Autofluorescence - Right - 20/32 -1 sc

Exemplar

Blue Autofluorescence - Left - 20/40 sc

Exemplar

Case Level Images

Diagnosis & molecular findings

Disease Gene Allele 1 variant(s) Allele 2 variant(s) Inheritance mode
Autosomal Dominant Vitreoretinochoroidopathy BEST1 Tyr72Asn TAC>AAC   AD
Gene:
Allele 1:
Tyr72Asn TAC>AAC
Allele 2:
 
Inheritance:
AD
Cite this case