Loading...

SR9716

AD Familial Exudative Vitreoretinopathy (IIIE2b)

Female

Female

SR9716

AD Familial Exudative Vitreoretinopathy (IIIE2b)

Female

Female

Visit at age: 18 years

Fundus Photography - N/A

Exemplar

Visit at age: 28 years

Goldmann Visual Field - Right - 20/400

Exemplar

Goldmann Visual Field - Left - 20/70 -2

Exemplar

Visit at age: 32 years

Fundus Photography - Right - 20/200

Exemplar

Fundus Photography - Left - 20/50

Exemplar

Visit at age: 38 years

Fundus Photography - Right - 20/200

Exemplar

Fundus Photography - Left - 20/50

Exemplar

Visit at age: 40 years

Fundus Photography - Right - 20/200

Exemplar

Fundus Photography - Left - 20/60 +3

Exemplar

Visit at age: 46 years

Goldmann Visual Field - Right - 20/200

Exemplar

Goldmann Visual Field - Left - 20/200

Exemplar

Visit at age: 51 years

Goldmann Visual Field - Right - 20/250

Exemplar

Visit at age: 56 years

Fundus Photography - Right - 20/100

Exemplar

Fundus Photography - Left - 20/40 +1

Exemplar

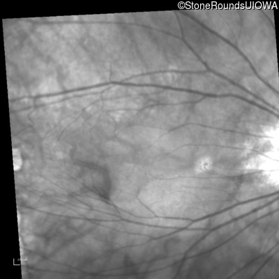
Fundus Montage - Right - 20/100

Exemplar

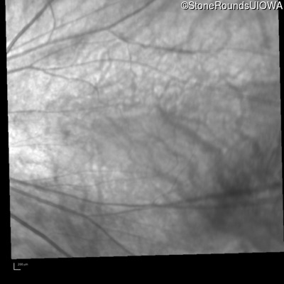
Fundus Montage - Left - 20/40 +1

Exemplar

Visit at age: 65 years

Fundus Photography - Right - 20/100 -1

Exemplar

Fundus Photography - Left - 20/50 +3

Exemplar

Fundus Montage - Right - 20/100 -1

Exemplar

Fundus Montage - Left - 20/50 +3

Exemplar

Optical Coherence Tomography - Right - 20/100 -1

Exemplar / OCT Stack
OCT Stack

Optical Coherence Tomography - Left - 20/50 +3

Exemplar / OCT Stack
OCT Stack

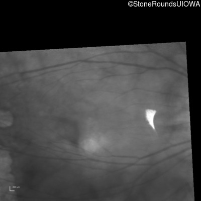
Infrared Fundus Photograph - Right - 20/100 -1

Exemplar

Infrared Fundus Photograph - Left - 20/50 +3

Exemplar

Visit at age: 66 years

Optical Coherence Tomography - Right - 20/100 +1

Exemplar / OCT Stack
OCT Stack

Optical Coherence Tomography - Left - 20/40 +2

Exemplar / OCT Stack
OCT Stack

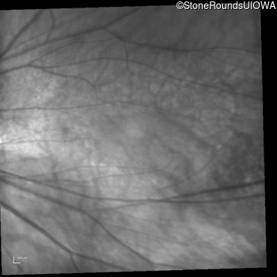
Infrared Fundus Photograph - Right - 20/100 +1

Exemplar

Infrared Fundus Photograph - Left - 20/40 +2

Exemplar

Visit at age: 71 years

Optical Coherence Tomography - Left - 20/60 -2

Exemplar / OCT Stack
OCT Stack

Infrared Fundus Photograph - Left - 20/60 -2

Exemplar

Visit at age: 71 years (Visit 2)

Fundus Photography - Right - 20/80 +1

Exemplar

Fundus Photography - Left - 20/30

Exemplar

Visit at age: 73 years

Fundus Photography - Right - 20/125

Exemplar

Fundus Photography - Left - 20/50 -2

Exemplar

Fundus Montage - Right - 20/125

Exemplar

Fundus Montage - Left - 20/50 -2

Exemplar

Optical Coherence Tomography - Right - 20/125

Exemplar / OCT Stack

Optical Coherence Tomography - Left - 20/50 -2

Exemplar / OCT Stack
OCT Stack

Infrared Fundus Photograph - Right - 20/125

Exemplar

Infrared Fundus Photograph - Left - 20/50 -2

Exemplar

Visit at age: 74 years

Fundus Photography - Right - 20/100

Exemplar

Fundus Photography - Left - 20/50 -1

Exemplar

Optical Coherence Tomography - Right - 20/100

Exemplar / OCT Stack
OCT Stack

Optical Coherence Tomography - Left - 20/50 -1

Exemplar / OCT Stack
OCT Stack

Infrared Fundus Photograph - Right - 20/100

Exemplar

Infrared Fundus Photograph - Left - 20/50 -1

Exemplar

Visit at age: 74 years (Visit 2)

Goldmann Visual Field - Right - 20/100 -1

Exemplar

Visit at age: 75 years

Fundus Photography - Right - 20/100 +1

Exemplar

Fundus Photography - Left - 20/50 +1

Exemplar

Optical Coherence Tomography - Right - 20/100 +1

Exemplar / OCT Stack

Optical Coherence Tomography - Left - 20/50 +1

Exemplar / OCT Stack

Infrared Fundus Photograph - Right - 20/100 +1

Exemplar

Infrared Fundus Photograph - Left - 20/50 +1

Exemplar

Visit at age: 76 years

Fundus Photography - Right - 20/150 +1

Exemplar

Fundus Photography - Left - 20/50

Exemplar

Optical Coherence Tomography - Right - 20/150 +1

Exemplar / OCT Stack

Optical Coherence Tomography - Left - 20/50

Exemplar / OCT Stack

Infrared Fundus Photograph - Right - 20/150 +1

Exemplar

Infrared Fundus Photograph - Left - 20/50

Exemplar

Visit at age: 77 years

Fundus Photography - Right - 20/200

Exemplar

Fundus Photography - Left - 20/50 +1

Exemplar

Fundus Montage - Right - 20/200

Exemplar

Fundus Montage - Left - 20/50 +1

Exemplar

Optical Coherence Tomography - Right - 20/200

Exemplar / OCT Stack

Optical Coherence Tomography - Left - 20/50 +1

Exemplar / OCT Stack
OCT Stack

Infrared Fundus Photograph - Right - 20/200

Exemplar

Infrared Fundus Photograph - Left - 20/50 +1

Exemplar

Case Level Images

Diagnosis & molecular findings

Disease Gene Allele 1 variant(s) Allele 2 variant(s) Inheritance mode
AD Familial Exudative Vitreoretinopathy TSPAN12 Arg50Trp AG(G)>TG(G)   AD
Gene:
Allele 1:
Arg50Trp AG(G)>TG(G)
Allele 2:
 
Inheritance:
AD
Cite this case