Loading...

SR2106

AD Stargardt Disease (IIF)

Male

Male

SR2106

AD Stargardt Disease (IIF)

Male

Male

Visit at age: 22 years

Fundus Photography - Right - 20/100 -1

Exemplar

Fundus Photography - Left - 20/70 -1

Exemplar

Visit at age: 38 years

Goldmann Visual Field - Right - 20/200

Exemplar

Goldmann Visual Field - Left - 20/200

Exemplar

Visit at age: 43 years

Fundus Photography - Right - 20/150 OU

Exemplar

Fundus Photography - Left - 20/150 OU

Exemplar

Visit at age: 56 years

Fundus Photography - Right - 20/150 OU

Exemplar

Fundus Photography - Left - 20/150 OU

Exemplar

Visit at age: 76 years

Optical Coherence Tomography - Right - 20/150

Exemplar / OCT Stack
OCT Stack

Optical Coherence Tomography - Left - 20/150

Exemplar / OCT Stack
OCT Stack

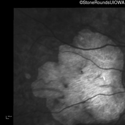
Infrared Fundus Photograph - Right - 20/150

Exemplar

Infrared Fundus Photograph - Left - 20/150

Exemplar

Visit at age: 76 years (Visit 2)

Optical Coherence Tomography - Right - 10/160 sc

Exemplar / OCT Stack
OCT Stack
OCT Stack

Optical Coherence Tomography - Left - 10/100 sc

Exemplar / OCT Stack
OCT Stack

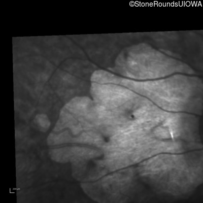
Infrared Fundus Photograph - Right - 10/160 sc

Exemplar

Infrared Fundus Photograph - Left - 10/100 sc

Exemplar

Visit at age: 78 years

Fundus Photography - Right - 20/400 sc

Exemplar

Fundus Photography - Left - 20/200 sc

Exemplar

Fundus Montage - Right - 20/400 sc

Exemplar

Fundus Montage - Left - 20/200 sc

Exemplar

Goldmann Visual Field - Right - 20/400 sc

Exemplar

Goldmann Visual Field - Left - 20/200 sc

Exemplar

Optical Coherence Tomography - Right - 20/400 sc

Exemplar / OCT Stack
OCT Stack
OCT Stack

Optical Coherence Tomography - Left - 20/200 sc

Exemplar / OCT Stack
OCT Stack
OCT Stack

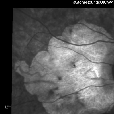
Infrared Fundus Photograph - Right - 20/400 sc

Exemplar

Infrared Fundus Photograph - Left - 20/200 sc

Exemplar

Visit at age: 80 years

Optical Coherence Tomography - Right - 20/300

Exemplar / OCT Stack
OCT Stack
OCT Stack

Optical Coherence Tomography - Left - 20/500

Exemplar / OCT Stack
OCT Stack
OCT Stack

Infrared Fundus Photograph - Right - 20/300

Exemplar

Infrared Fundus Photograph - Left - 20/500

Exemplar

Case Level Images

Diagnosis & molecular findings

Disease Gene Allele 1 variant(s) Allele 2 variant(s) Inheritance mode
AD Stargardt Disease ELOVL4 Leu263 del5tttCTTAA   AD
Gene:
Allele 1:
Leu263 del5tttCTTAA
Allele 2:
 
Inheritance:
AD
Cite this case