Loading...

SR2769

XL Retinoschisis (IIIB1)

Male

Male

SR2769

XL Retinoschisis (IIIB1)

Male

Male

Visit at age: 7 years

Fundus Photography - Right - 20/40 -2

Exemplar

Fundus Photography - Left - 20/40 +2

Exemplar

Goldmann Visual Field - Right - 20/40 -2

Exemplar

Goldmann Visual Field - Left - 20/40 +2

Exemplar

Optical Coherence Tomography - Right - 20/40 -2

Exemplar / OCT Stack
OCT Stack
OCT Stack

Optical Coherence Tomography - Left - 20/40 +2

Exemplar / OCT Stack
OCT Stack
OCT Stack

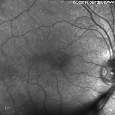
Infrared Fundus Photograph - Right - 20/40 -2

Exemplar

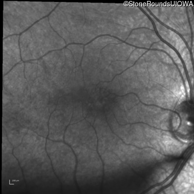
Infrared Fundus Photograph - Left - 20/40 +2

Exemplar

Green Autofluorescence - Right - 20/40 -2

Exemplar

Green Autofluorescence - Left - 20/40 +2

Exemplar

Visit at age: 9 years

Goldmann Visual Field - Right - 20/50 +2 sc

Exemplar

Goldmann Visual Field - Left - 20/32 sc

Exemplar

Optical Coherence Tomography - Right - 20/50 +2 sc

Exemplar / OCT Stack
OCT Stack

Optical Coherence Tomography - Left - 20/32 sc

Exemplar / OCT Stack
OCT Stack

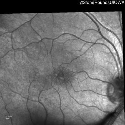
Infrared Fundus Photograph - Right - 20/50 +2 sc

Exemplar

Infrared Fundus Photograph - Left - 20/32 sc

Exemplar

Visit at age: 11 years

Optical Coherence Tomography - Right - 20/50 sc

Exemplar / OCT Stack
OCT Stack
OCT Stack
OCT Stack
OCT Stack

Optical Coherence Tomography - Left - 20/40 -1 sc

Exemplar / OCT Stack
OCT Stack
OCT Stack

Infrared Fundus Photograph - Right - 20/50 sc

Exemplar

Infrared Fundus Photograph - Left - 20/40 -1 sc

Exemplar

Case Level Images

Diagnosis & molecular findings

Disease Gene Allele 1 variant(s) Allele 2 variant(s) Inheritance mode
XL Retinoschisis RS1 IVS1-1 G>A   XL
Disease:
Gene:
Allele 1:
IVS1-1 G>A
Allele 2:
 
Inheritance:
XL
Cite this case