Case
SR465
Student Mode
ECORD (IA2c)
Female
Female
Hidden
SR465
Student Mode
ECORD (IA2c)
Female
Female
Visit at age: 24 years
Fundus Photography - Right - 20/50
Exemplar
Fundus Photography - Left - 20/32 +1
Exemplar
Fundus Montage - Right - 20/50
Exemplar
Fundus Montage - Left - 20/32 +1
Exemplar
Goldmann Visual Field - Right - 20/50
Exemplar
Goldmann Visual Field - Left - 20/32 +1
Exemplar
Optical Coherence Tomography - Right - 20/50
Exemplar / OCT Stack
OCT Stack
OCT Stack
OCT Stack
Optical Coherence Tomography - Left - 20/32 +1
Exemplar / OCT Stack
OCT Stack
OCT Stack
OCT Stack
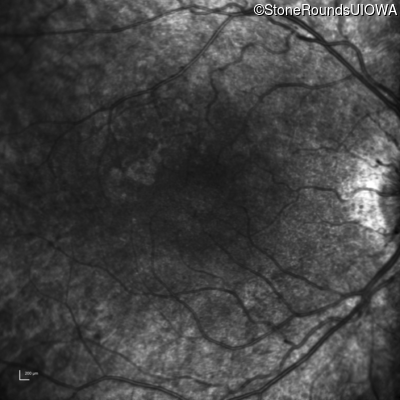
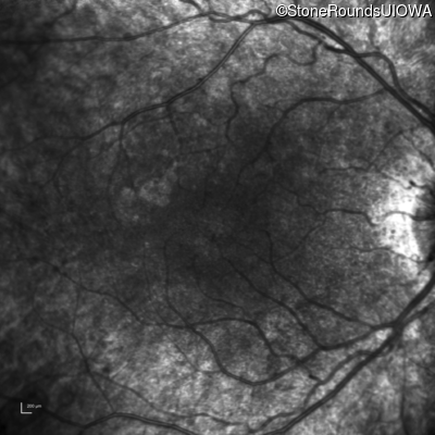
Infrared Fundus Photograph - Right - 20/50
Exemplar
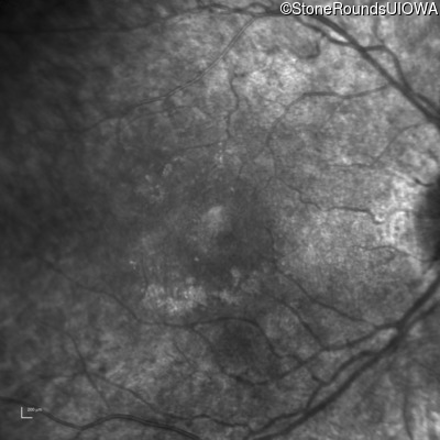
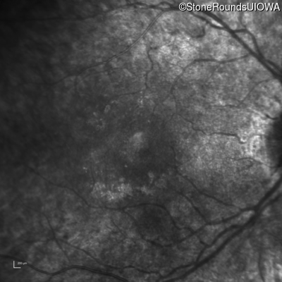
Infrared Fundus Photograph - Left - 20/32 +1
Exemplar
Visit at age: 25 years
Goldmann Visual Field - Right - 20/40 -1 sc
Exemplar
Goldmann Visual Field - Left - 20/32 sc
Exemplar
Optical Coherence Tomography - Right - 20/40 -1 sc
Exemplar / OCT Stack
OCT Stack
OCT Stack
Optical Coherence Tomography - Left - 20/32 sc
Exemplar / OCT Stack
OCT Stack
OCT Stack
Infrared Fundus Photograph - Right - 20/40 -1 sc
Exemplar
Infrared Fundus Photograph - Left - 20/32 sc
Exemplar
Visit at age: 27 years
Goldmann Visual Field - Right - 20/40 sc
Exemplar
Goldmann Visual Field - Left - 20/32 -2 sc
Exemplar
Optical Coherence Tomography - Right - 20/40 sc
Exemplar / OCT Stack
OCT Stack
OCT Stack
Optical Coherence Tomography - Left - 20/32 -2 sc
Exemplar / OCT Stack
OCT Stack
OCT Stack
Infrared Fundus Photograph - Right - 20/40 sc
Exemplar
Infrared Fundus Photograph - Left - 20/32 -2 sc
Exemplar
Case Level Images
Diagnosis & molecular findings
| Disease |
Gene |
Allele 1 variant(s) |
Allele 2 variant(s) |
Inheritance mode |
| ECORD |
IMPDH1 |
Lys323Arg AAG>AGG |
|
AD |
Allele 1:
Lys323Arg AAG>AGG
False Genotype Rate:
Gene Count:
Submit Final Diagnosis
Clear Diagnosis